介入血管外科:巨大腹主动脉瘤合并双侧髂动脉瘤 微创手术拆除“定时炸弹”
发布时间:2022-10-21 17:50
本文来源: 未知
分享到:
近日,湘西州人民医院介入血管外科医疗团队为一名患有难治性瘤颈巨大腹主动脉瘤合并双侧髂动脉瘤的患者成功实施了腔内隔绝术,术后第二天便能下地活动,生活自理,目前已出院。该手术的成功开展标志着我院对于处理复杂、疑难的主动脉疾病的治疗技术再上新台阶。
患者今年66岁的,因胃反酸不适在消化内科住院,通过检查发现了巨大腹主动脉瘤。
据悉,腹主动脉瘤是由于腹主动脉管腔逐渐增宽、增大,继而导致局部瘤样扩张而形成的一种病变。该病症最大的风险是瘤体生长、破裂导致腹腔内大出血,死亡率极高,如能在没有破裂时及时干预,大部分患者能取得理想的治疗效果。
随着医疗技术的日益提升,以前只能通过开腹切除的高风险疾病,已经能通过微创手术达到满意的治疗效果。患者除了可以摸到下腹部搏动性的硬质包块外,也仅仅只有仰卧时有一点腹部坠胀感,如果没有及时发现这枚“定时炸弹”,那么后果将不堪设想。
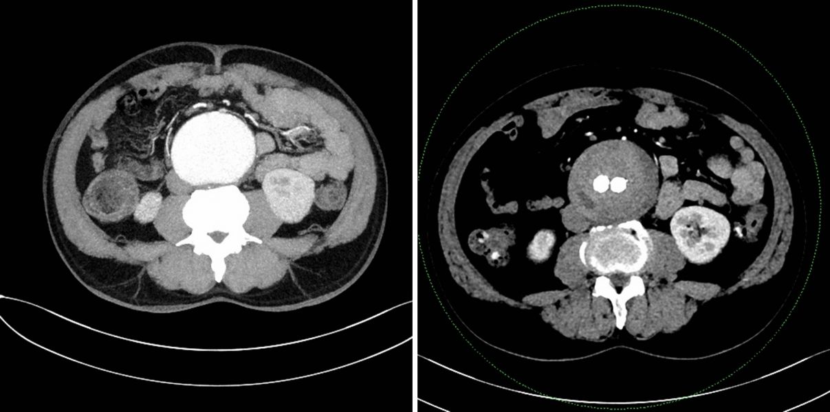
通过增强CT资料显示:患者的瘤体总长度超过20cm,最大直径达7.5cm,瘤颈短且极度扭曲,扭曲度超过60°,而且双侧髂总动脉、髂内动脉均受累及,需要同时处理,手术难度极高。
经过与患者及家属充分沟通和商议,并告知风险后,患者还是选择相信介入血管外科丁文金团队。通过充分的术前准备、详实的手术计划以及完备的应急预案,在优秀的麻醉、护理、技师团队的配合下,近乎完美的啃下了这块“硬骨头”。没有长切口,也不需要术后禁食,患者第二天就能下地活动,生活完全自理,现已康复出院。
“腹主动脉瘤多数患者无症状,常在体检时发现脐周部有搏动性肿块,部分患者诉偶有腹痛或腹胀不适。”介入血管外科主任丁文金介绍:如果发现自身出现腹主动脉瘤的早期症状,建议及时就诊,进行彩超、CT等检查,明确诊断后原则上所有腹主动脉瘤患者如果满足手术适应证,均应接受手术治疗,避免其进一步发展,导致更为严重的症状。
术前术后CT横断面对比
术前术后CT重建图对比
患者今年66岁的,因胃反酸不适在消化内科住院,通过检查发现了巨大腹主动脉瘤。
据悉,腹主动脉瘤是由于腹主动脉管腔逐渐增宽、增大,继而导致局部瘤样扩张而形成的一种病变。该病症最大的风险是瘤体生长、破裂导致腹腔内大出血,死亡率极高,如能在没有破裂时及时干预,大部分患者能取得理想的治疗效果。
随着医疗技术的日益提升,以前只能通过开腹切除的高风险疾病,已经能通过微创手术达到满意的治疗效果。患者除了可以摸到下腹部搏动性的硬质包块外,也仅仅只有仰卧时有一点腹部坠胀感,如果没有及时发现这枚“定时炸弹”,那么后果将不堪设想。
通过增强CT资料显示:患者的瘤体总长度超过20cm,最大直径达7.5cm,瘤颈短且极度扭曲,扭曲度超过60°,而且双侧髂总动脉、髂内动脉均受累及,需要同时处理,手术难度极高。
经过与患者及家属充分沟通和商议,并告知风险后,患者还是选择相信介入血管外科丁文金团队。通过充分的术前准备、详实的手术计划以及完备的应急预案,在优秀的麻醉、护理、技师团队的配合下,近乎完美的啃下了这块“硬骨头”。没有长切口,也不需要术后禁食,患者第二天就能下地活动,生活完全自理,现已康复出院。
“腹主动脉瘤多数患者无症状,常在体检时发现脐周部有搏动性肿块,部分患者诉偶有腹痛或腹胀不适。”介入血管外科主任丁文金介绍:如果发现自身出现腹主动脉瘤的早期症状,建议及时就诊,进行彩超、CT等检查,明确诊断后原则上所有腹主动脉瘤患者如果满足手术适应证,均应接受手术治疗,避免其进一步发展,导致更为严重的症状。
术前术后CT横断面对比
术前术后CT重建图对比
扫一扫 手机端浏览

微信服务号