2岁男童脑出血命悬一线 神经外科紧急施救“妙手排雷”
发布时间:2022-09-30 15:26
本文来源: 神经外二科
分享到:
近日,我院神经外科脑血管病团队成功抢救一名2岁大量颅内出血患儿。目前患儿术后恢复良好,生命体征平稳,无明显功能障碍。
患儿黄某因发热、伴意识障碍入院求诊,经儿科初步诊治,完善颅脑CT后提示:颅内出血。接到值班医师电话后,作为“西部之光”访问学者研修归来的神经外二科副主任田志一边赶往病房一边对患儿的情况进行详细询问,凭借多年的手术经验,判断极有可能是一例颅内血管畸形导致的颅内出血,如不及时清除血肿和处理畸形血管团,患儿随时可能出现脑疝,导致死亡。
为进一步确认患儿情况,医院紧急开通卒中绿色通道进行脑血管CTA检查,确诊后利用三维重建软件进行术前规划,立刻行开颅手术,清除血肿、切除畸形血管。争分夺秒的抢救后,经神经外二科、PICU、儿二科周密的后续治疗,患儿逐渐恢复活力,目前无明显功能障碍。
“不同于中老年人自发性脑出血,儿童自发性脑出血最常见病因为颅内血管畸形占30%-60%;血液病其次占6%-14%;颅内动脉瘤出血较少见;另外20%-30%患儿出血原因不明。”据神经外二科主任朱英杰介绍:儿童脑出血起病急、病情重、病情进展快,若发现孩子突发不明原因头痛、呕吐、言语不清、偏瘫、意识不清等,家长应提高警惕,尽快到医院检查,不要擅自判断病情,延误治疗。
术前检查提示脑血管畸形
术前利用3D slicer重建,提示血肿约ml位于左侧人字缝深部,畸形血管团位于血肿内侧,利用3D slicer初步设计手术切口
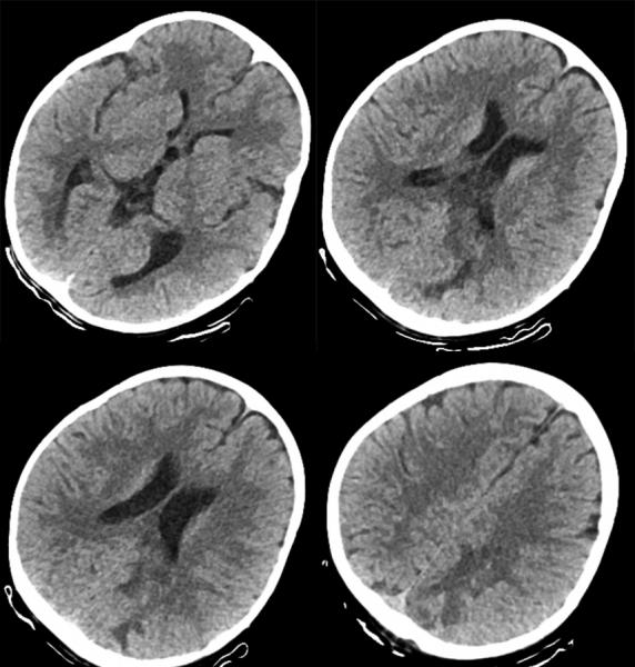
术后第一天复查见血肿清除
术后第十天复查见血肿吸收,水肿消退
术后患儿恢复良好,主刀医生田志查房时,患儿家属携患儿感谢
患儿黄某因发热、伴意识障碍入院求诊,经儿科初步诊治,完善颅脑CT后提示:颅内出血。接到值班医师电话后,作为“西部之光”访问学者研修归来的神经外二科副主任田志一边赶往病房一边对患儿的情况进行详细询问,凭借多年的手术经验,判断极有可能是一例颅内血管畸形导致的颅内出血,如不及时清除血肿和处理畸形血管团,患儿随时可能出现脑疝,导致死亡。
为进一步确认患儿情况,医院紧急开通卒中绿色通道进行脑血管CTA检查,确诊后利用三维重建软件进行术前规划,立刻行开颅手术,清除血肿、切除畸形血管。争分夺秒的抢救后,经神经外二科、PICU、儿二科周密的后续治疗,患儿逐渐恢复活力,目前无明显功能障碍。
“不同于中老年人自发性脑出血,儿童自发性脑出血最常见病因为颅内血管畸形占30%-60%;血液病其次占6%-14%;颅内动脉瘤出血较少见;另外20%-30%患儿出血原因不明。”据神经外二科主任朱英杰介绍:儿童脑出血起病急、病情重、病情进展快,若发现孩子突发不明原因头痛、呕吐、言语不清、偏瘫、意识不清等,家长应提高警惕,尽快到医院检查,不要擅自判断病情,延误治疗。
术前检查提示脑血管畸形
术前利用3D slicer重建,提示血肿约ml位于左侧人字缝深部,畸形血管团位于血肿内侧,利用3D slicer初步设计手术切口
术后第一天复查见血肿清除
术后第十天复查见血肿吸收,水肿消退
术后患儿恢复良好,主刀医生田志查房时,患儿家属携患儿感谢
扫一扫 手机端浏览

微信服务号