突破复杂手术高龄禁区 为87岁老人实施胰十二指肠切除术
发布时间:2022-08-25 17:12
本文来源: 肝胆一科
分享到:
近日,湘西州人民医院肝胆一科成功为一名87岁高龄患者实施了“胰十二指肠切除术”,术后恢复良好,目前已出院。
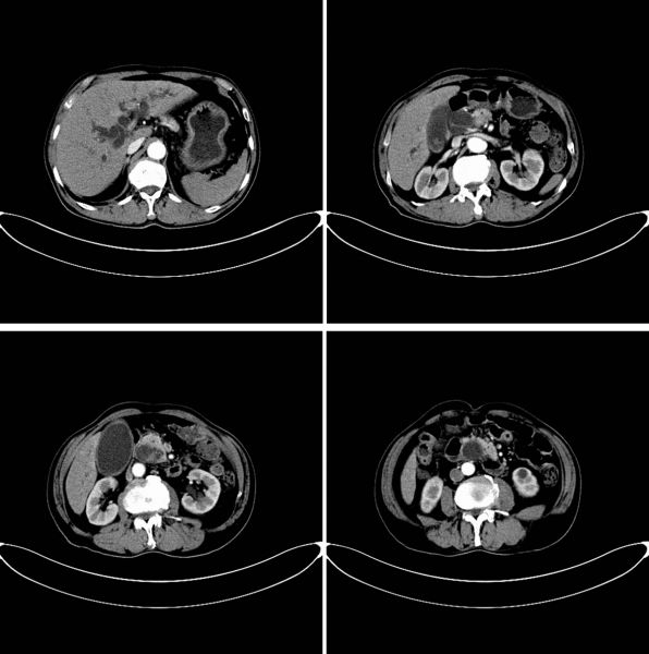
患者李大爷平时身体一向不错,前段时间食欲不佳、经常腹胀且小便发黄,本以为是消化不良,但服用消化药后症状并没有缓解。于是,李大爷在家属的陪同下来到我院肝胆一科外科就诊,经检查后发现:胆红素升高,腹部CT结果显示胰腺头部囊性占位合并胆道梗阻,家属当即办理了住院手续。
入院后,肝胆一科副主任王文儿领衔的治疗团队继续为李大爷完善检查,腹部增强磁共振和增强CT共同提示为胰头囊性肿瘤,须手术治疗。
手术治疗胰头部肿瘤常用的手术方式是胰十二指肠切除术,该术式切除范围广、对患者的生理结构改变大、术中术后并发症多,是腹部外科手术中手术难度高、操作最为复杂的手术之一,加之李大爷已87岁高龄,手术难度及风险更甚。
为了给予李大爷更为安全有效的治疗,肝胆一科团队立即组织科内讨论,一致认为手术切除为最佳方案。通过术前评估及准备,详尽分析病情,并制定了周密治疗计划。李大爷家属也多方打探,了解病情及该科技术水平后,充分信任该团队,同意手术治疗。
手术过程中,手术团队有条不紊的切除病灶,并做好消化道重建。值得庆幸的是术后病理结果诊断“胰腺囊性粘液性肿瘤”,这对李大爷来说也是好消息。术后李大爷未出现胰瘘、肠瘘、发热等并发症,恢复顺利。
高龄患者手术要面临三大难关:一是器官功能衰退,手术和麻醉耐受性差;二是基础疾病多,如高血压,糖尿病、心脑血管疾病等;三是术后恢复慢,易发生胆漏、胰漏、感染、肺炎和静脉血栓等。这三大风险直接威胁到患者的生命,对手术团队的技术、医院的综合实力要求更高。据悉,肝胆一科高龄患者手术的最高记录是94岁,李大爷是目前该科胰十二指肠切除手术年龄最高的患者,该手术的成功开展标志着肝胆一科在高龄患者复杂手术领域再次取得新突破,医疗技术水平再上新台阶。
术前CT
术后病理
李大爷康复出院
患者李大爷平时身体一向不错,前段时间食欲不佳、经常腹胀且小便发黄,本以为是消化不良,但服用消化药后症状并没有缓解。于是,李大爷在家属的陪同下来到我院肝胆一科外科就诊,经检查后发现:胆红素升高,腹部CT结果显示胰腺头部囊性占位合并胆道梗阻,家属当即办理了住院手续。
入院后,肝胆一科副主任王文儿领衔的治疗团队继续为李大爷完善检查,腹部增强磁共振和增强CT共同提示为胰头囊性肿瘤,须手术治疗。
手术治疗胰头部肿瘤常用的手术方式是胰十二指肠切除术,该术式切除范围广、对患者的生理结构改变大、术中术后并发症多,是腹部外科手术中手术难度高、操作最为复杂的手术之一,加之李大爷已87岁高龄,手术难度及风险更甚。
为了给予李大爷更为安全有效的治疗,肝胆一科团队立即组织科内讨论,一致认为手术切除为最佳方案。通过术前评估及准备,详尽分析病情,并制定了周密治疗计划。李大爷家属也多方打探,了解病情及该科技术水平后,充分信任该团队,同意手术治疗。
手术过程中,手术团队有条不紊的切除病灶,并做好消化道重建。值得庆幸的是术后病理结果诊断“胰腺囊性粘液性肿瘤”,这对李大爷来说也是好消息。术后李大爷未出现胰瘘、肠瘘、发热等并发症,恢复顺利。
高龄患者手术要面临三大难关:一是器官功能衰退,手术和麻醉耐受性差;二是基础疾病多,如高血压,糖尿病、心脑血管疾病等;三是术后恢复慢,易发生胆漏、胰漏、感染、肺炎和静脉血栓等。这三大风险直接威胁到患者的生命,对手术团队的技术、医院的综合实力要求更高。据悉,肝胆一科高龄患者手术的最高记录是94岁,李大爷是目前该科胰十二指肠切除手术年龄最高的患者,该手术的成功开展标志着肝胆一科在高龄患者复杂手术领域再次取得新突破,医疗技术水平再上新台阶。
术前CT
术后病理
李大爷康复出院
扫一扫 手机端浏览

微信服务号