数字技术精准激光定位 个性化手术帮助脑出血患者快速康复
  发布时间:2022-08-05 10:14
  本文来源: 神经外二科  
  分享到:
  
              
        7月27日,湘西州人民医院神经外科脑血管团队利用激光引导技术成功救治一位基底节区脑出血患者。该技术能大大提高手术的精准度,并减轻患者的手术创伤,具有靶向精准、微创快捷等优点,可助力患者更快更好康复。
 
患者覃某41岁,因突发右侧肢体肌力下降及言语不清6小时入院,通过查体发现意识模糊,言语不清,双侧瞳孔等大、灵敏,颈软,心肺腹阴性,右侧肢体肌力约2级。当地医院已完善CT检查,诊断已明确左侧基底节脑出血,血肿量约25ml,患者因肢体肌力下降。当知晓我院能开展脑出血的精准微创穿刺手术后,患者转至我院神经外科要求积极手术治疗。
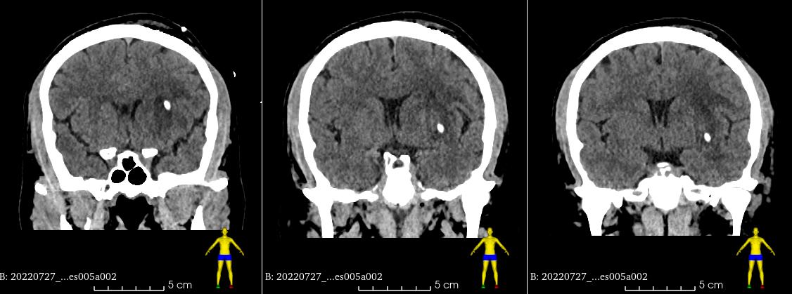
入院后,完善脑血管CTA,排除动脉瘤及血管畸形等疾病。经三维重建可见血肿有分层,血肿体积27.83ml,设计经额穿刺通道,发际内,中线旁开3.0cm,有效避开动静脉血管,利用激光定位系统,靶向精准穿刺置管引流,术后复查引流管位置满意,患者肢体功能明显好转,恢复良好。 
  
  
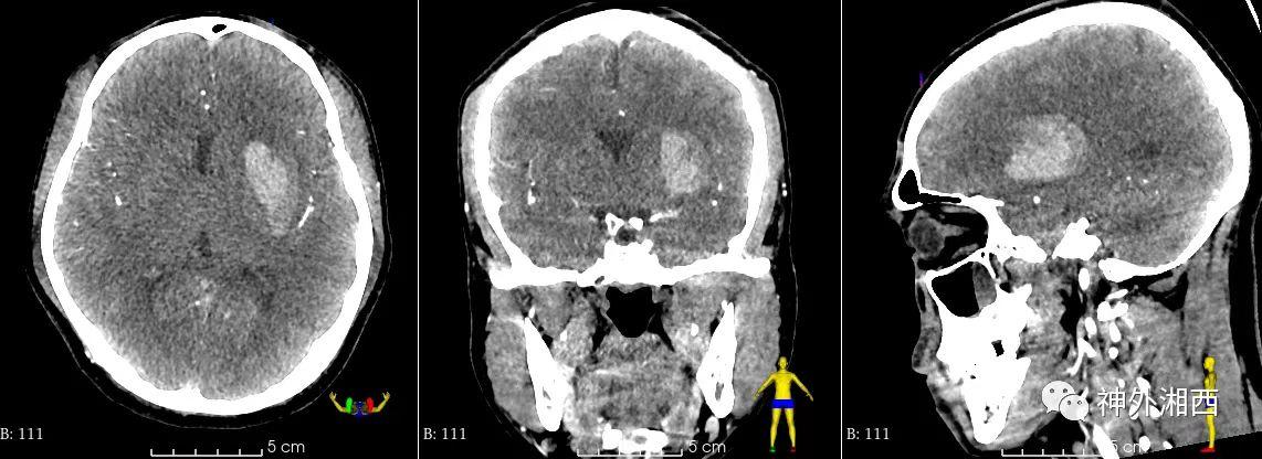
术前CT示血肿分层
 
  
 
  
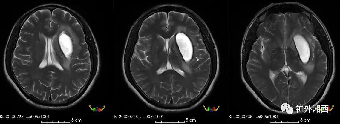
术前MRI示血肿稳定,且液化良好
 
  
 
  
3DSlicer精准计算血肿体积:27.83ml
 
  
 
  
数字化定位穿刺部位
 
  
 
  
发际内,中线旁开3.0cm
 
  
  
有效避开额部血管
 
  
  
激光定位
 
  
  
靶向精准穿刺置管、引流通畅
 
  
  
 
  
  
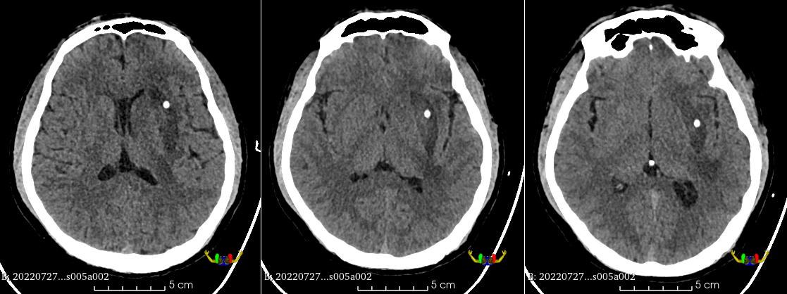
术后复查CT,置管精准       “激光定位技术为现代数字外科技术的一部分,以强大的精准定位技术应用于稳定血肿的穿刺治疗,并取得良好的临床效果。”据神经外二科主任朱英杰介绍:通过三维重建血肿、神经、骨性及头皮等标志,多维度了解颅内的病变结构与个体差异,根据手术需要,通过数字技术,精细设计个性化的手术方案,测量各项定位数值,然后辅以激光定位穿刺,与传统的经验性手术相比,该技术能大大提高手术的精准度并减轻患者的手术创伤,最终使患者更快更好地康复。 
  
  
  
 
 
患者覃某41岁,因突发右侧肢体肌力下降及言语不清6小时入院,通过查体发现意识模糊,言语不清,双侧瞳孔等大、灵敏,颈软,心肺腹阴性,右侧肢体肌力约2级。当地医院已完善CT检查,诊断已明确左侧基底节脑出血,血肿量约25ml,患者因肢体肌力下降。当知晓我院能开展脑出血的精准微创穿刺手术后,患者转至我院神经外科要求积极手术治疗。
入院后,完善脑血管CTA,排除动脉瘤及血管畸形等疾病。经三维重建可见血肿有分层,血肿体积27.83ml,设计经额穿刺通道,发际内,中线旁开3.0cm,有效避开动静脉血管,利用激光定位系统,靶向精准穿刺置管引流,术后复查引流管位置满意,患者肢体功能明显好转,恢复良好。
  术前CT示血肿分层
 
  术前MRI示血肿稳定,且液化良好
 
  3DSlicer精准计算血肿体积:27.83ml
 
  数字化定位穿刺部位
 
  发际内,中线旁开3.0cm
  有效避开额部血管
  激光定位
  靶向精准穿刺置管、引流通畅
  
  术后复查CT,置管精准
 
   神经外科团队
 
       近年来,神经外科脑血管病团队在院长黄纯海的带领下,业务水平稳步拓展,利用神经显微操作技术与数字医学工程技术相结合,能成熟开展颅内各种血管病的开颅和血管内介入手术治疗,特别是复杂的颅内动脉瘤、脑与脊髓血管畸形、自发性脑出血、脑干出血、烟雾病等,同时能开展颈动脉内膜剥脱术预防严重脑梗塞的发生,为湘西州及周边地区的脑血管疾病患者提供良好的医疗技术服务。
 扫一扫 手机端浏览

            微信服务号