心内二科确诊湘西首例遗传型转甲状腺素蛋白淀粉样变心肌病(ATTRm-CM)
  发布时间:2022-07-28 10:17
  本文来源: 未知  
  分享到:
  
              
        心内二科团队在王福军主任医师、罗亚雄主任医师带领下,成功诊断湘西首例遗传型转甲状腺素蛋白淀粉样变心肌病(ATTRm-CM)。本例ATTRm-CM患者的诊断,综合运用了超声心电图、心脏核磁共振、
 99Tc
 m-PYP核素显像、基因检测等多项检查技术,填补了我院在该类型心肌淀粉样变诊断的空白,展现了我院多学科团队协作在疑难病、罕见病的综合诊疗水平。
 
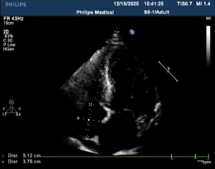
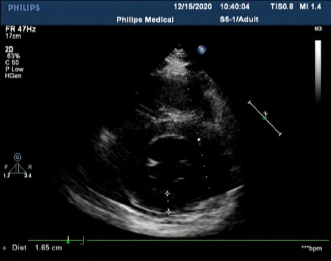
2月前,一名50岁男性患者因反复活动后气促半年,加重2月来到心内二科住院,患者爬楼或快步行走时即感气促,伴胸闷,休息后缓解,无胸痛、心悸、黑朦、晕厥。2月前上述症状较前加重,活动耐量下降,无夜间阵发性呼吸困难。2017年诊断“重度阻塞性睡眠呼吸暂停低通气综合征”,使用无创呼吸机治疗。有猝死家族史,其父亲及兄弟姐妹中3人于50岁左右猝死。入院查NT-proBNP 2761.02 pg/ml↑,余住院患者常规实验室检验指标未见异常。心脏彩超双房增大,心肌弥漫性增厚并室壁运动幅度广泛减弱(室间隔15mm、左室后壁17mm),心功能参数减低LVEF 41%(辛普森法),少量心包积液。而心电图肢体导联及左胸壁导联QRS波低电压,这与肥厚型心肌病常伴心电图高电压的特征不匹配。
   
  
  
  
  
  
  
  
  
  
  
  
 
考虑患者有明确的猝死家族史,与患者沟通后,外送基因检测,找到疑似遗传性转甲状腺素相关性淀粉样变性病致病基因:TTR基因 c.128G>A。完善 99Tc m-PYP核素显像结果示心肌摄取2级,符合心脏淀粉样改变。根据血液科的意见完善血清免疫固定蛋白电泳及尿本周氏蛋白电泳未检测到单克隆免疫球蛋白及轻链;通过各科室的不懈努力及相互协作,患者最终明确诊断:遗传型转甲状腺素蛋白淀粉样变心肌病(ATTRm-CM)并开出了湖南湘西首张罕见病氯苯唑酸处方。
随着国家医保药品的不断增加,如今一些遗传病、罕见病患者得到了切实的福利,目前该患者已接受“氯苯唑酸”的针对性治疗。服药两月患者自觉全身症状得到改善,未见明显药物不良反应。 
  
  
  
 遗传型转甲状腺素蛋白淀粉样变心肌病(
 ATTRm-CM
 )
 
ATTR-CM是一种罕见的致死性疾病,由一种转运蛋白,转甲状腺素蛋白不稳定引起的。转甲状腺素蛋白由4个相同的部分(四聚体)组成。当不稳定的转甲状腺素蛋白四聚物解离,就会导致错误折叠的蛋白形成淀粉样纤维沉积于心脏,从而使心肌变得僵硬,最终导致心力衰竭。根据基因分型,ATTR-CM又分为突变型(ATTRm-CM)和野生型(ATTRwt-CM)两类。由于ATTR-CM较为罕见,临床表现缺乏特异性,因此临床对该病的认识程度较低,大多数患者被发现时已经是疾病中晚期,自然病程仅 3~5 年,预后较差。因此,认识ATTR-CM的临床特点,提高对该疑难心脏疾病的认识和诊断水平,实现早期诊断和治疗,至关重要。
本例为湘西诊断的首例ATTRm-CM,是心内二科团队及相关科室多学科协作的结果,提高了本院对心肌淀粉样变的认识和诊治水平,能让更多心肌淀粉样变患者得到及时诊断,获得更精准的治疗和更大的获益。
 
2月前,一名50岁男性患者因反复活动后气促半年,加重2月来到心内二科住院,患者爬楼或快步行走时即感气促,伴胸闷,休息后缓解,无胸痛、心悸、黑朦、晕厥。2月前上述症状较前加重,活动耐量下降,无夜间阵发性呼吸困难。2017年诊断“重度阻塞性睡眠呼吸暂停低通气综合征”,使用无创呼吸机治疗。有猝死家族史,其父亲及兄弟姐妹中3人于50岁左右猝死。入院查NT-proBNP 2761.02 pg/ml↑,余住院患者常规实验室检验指标未见异常。心脏彩超双房增大,心肌弥漫性增厚并室壁运动幅度广泛减弱(室间隔15mm、左室后壁17mm),心功能参数减低LVEF 41%(辛普森法),少量心包积液。而心电图肢体导联及左胸壁导联QRS波低电压,这与肥厚型心肌病常伴心电图高电压的特征不匹配。
 
   图1.心电图肢体及左胸导联QRS波低电压
 
 
 
  
 
   图2.心脏彩超左室壁均匀性增厚
 
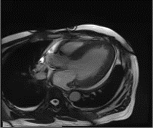
       王福军主任及罗亚雄主任查房后分析患者无肥胖、肺气肿及大量心包积液等,心脏外因素所致心电信号传导受阻所致低电压可能小。而患者心肌均匀增厚,有限制表现,心肌内异常物质的浸润或贮积所致低电压可能性大,如心脏淀粉样变性、铁超负荷、溶酶体或糖原贮积等。患者心脏超声虽未见心肌内颗粒样强回声影,但淀粉样变性不能完全排除,进一步完善心脏磁共振见左室心肌存在明显的钆延迟强化。 
 
  
 
   图3.心脏磁共振心肌增厚,左室心肌明显钆延迟强化
 
       究竟是什么原因导致患者心肌病变,使心电图QRS波电压及心肌肥厚呈矛盾表现?
 考虑患者有明确的猝死家族史,与患者沟通后,外送基因检测,找到疑似遗传性转甲状腺素相关性淀粉样变性病致病基因:TTR基因 c.128G>A。完善 99Tc m-PYP核素显像结果示心肌摄取2级,符合心脏淀粉样改变。根据血液科的意见完善血清免疫固定蛋白电泳及尿本周氏蛋白电泳未检测到单克隆免疫球蛋白及轻链;通过各科室的不懈努力及相互协作,患者最终明确诊断:遗传型转甲状腺素蛋白淀粉样变心肌病(ATTRm-CM)并开出了湖南湘西首张罕见病氯苯唑酸处方。
随着国家医保药品的不断增加,如今一些遗传病、罕见病患者得到了切实的福利,目前该患者已接受“氯苯唑酸”的针对性治疗。服药两月患者自觉全身症状得到改善,未见明显药物不良反应。
  
 ATTR-CM是一种罕见的致死性疾病,由一种转运蛋白,转甲状腺素蛋白不稳定引起的。转甲状腺素蛋白由4个相同的部分(四聚体)组成。当不稳定的转甲状腺素蛋白四聚物解离,就会导致错误折叠的蛋白形成淀粉样纤维沉积于心脏,从而使心肌变得僵硬,最终导致心力衰竭。根据基因分型,ATTR-CM又分为突变型(ATTRm-CM)和野生型(ATTRwt-CM)两类。由于ATTR-CM较为罕见,临床表现缺乏特异性,因此临床对该病的认识程度较低,大多数患者被发现时已经是疾病中晚期,自然病程仅 3~5 年,预后较差。因此,认识ATTR-CM的临床特点,提高对该疑难心脏疾病的认识和诊断水平,实现早期诊断和治疗,至关重要。
本例为湘西诊断的首例ATTRm-CM,是心内二科团队及相关科室多学科协作的结果,提高了本院对心肌淀粉样变的认识和诊治水平,能让更多心肌淀粉样变患者得到及时诊断,获得更精准的治疗和更大的获益。
扫一扫 手机端浏览

            微信服务号