普四科:高难度分期术式帮助高位复杂性肛瘘并直肠瘘患者康复
发布时间:2022-07-06 14:46
本文来源: 普四科
分享到:
近日,湘西州人民医院普四科一位历经三次手术的高位复杂性肛瘘并直肠瘘患者康复出院。目前患者大便已能基本完全控制,伤口也基本愈合,前期呈 “X型蝴蝶形”脓肿彻底消失。
患者杜某,男,41岁。2021年6月因“反复肛周疼痛伴流脓流液7个月”就诊普四科,既往有外院肛瘘切除手术及2型糖尿病病史数年,未规范治疗糖尿病。收住院后,完善肛管M R I增强检查、结肠镜、结核等相关术前常规检查,排除合并IBD、结核及肿瘤。因患者原发病灶位于内外括约肌间,随着感染的扩散,脓肿沿括约肌间由“U型马蹄形”脓肿发展为“X型蝴蝶形”脓肿,且脓腔内有较多气体,直肠可见破溃口,考虑合并直肠瘘。同时,因脓肿波及范围广,脓腔及分支瘘管较多,一次手术无法达到痊愈目的,且对肛门括约肌损伤大,术后直接会影响肛门形态及功能,甚至可能导致术后排便失禁。
普四科主任王定树带领手术团队细致阅读影像学资料并制定诊疗方案,认为分期手术最为合适。即第一期手术在不损伤患者肛门括约肌的情况下,将脓腔内的脓液充分引流,并完整清除感染坏死病灶。第二期手术视病灶退缩及吸收情况而定,若脓腔消退吸收局限,予以直接切除,若脓腔消退不理想,需再次行脓腔清创引流手术。
手术现场 6月25日,征得患者及家属同意后,在科主任王定树的指导下,由副主任医师李享祥主刀,主治医师蒋文君等协助,完成了第一期手术,即采用改良Hanley术+松挂线引流术。术后无排便失禁,经过3个多月伤口换药及精心护理,患者肛周痛感已明显缓解,肛周对口引流切口愈合,肛周正后方留置导尿管引流处引流通畅,复查肛管M R I脓腔较前明显缩小,已由“蝴蝶形”脓肿转化为“马蹄形”脓肿。
10月19日,经普四科团队商议且征得患者同意后,再次行脓肿清创引流+松挂线术,手术沿肛门后方原切口进入,将感染坏死病灶清除,留置小导尿管引流,并放置引流管冲洗,术后恢复良好。
2022年4月11日,患者再次于我院复查,肛管MRI可见瘘管范围明显缩小,科主任王定树认为第三期根治性手术时机已成熟。术中,手术团队沿原切口进入,超声刀切断后方肛门内外括约肌及4/5肛直环,清除肌间残留病灶,并切开后方直肠壁至破损处行直肠推移瓣手术,切口内放置引流管引流,第三期手术顺利完成。经过术后2个月恢复,患者大便已能基本完全控制,伤口也大部分愈合,基本康复。
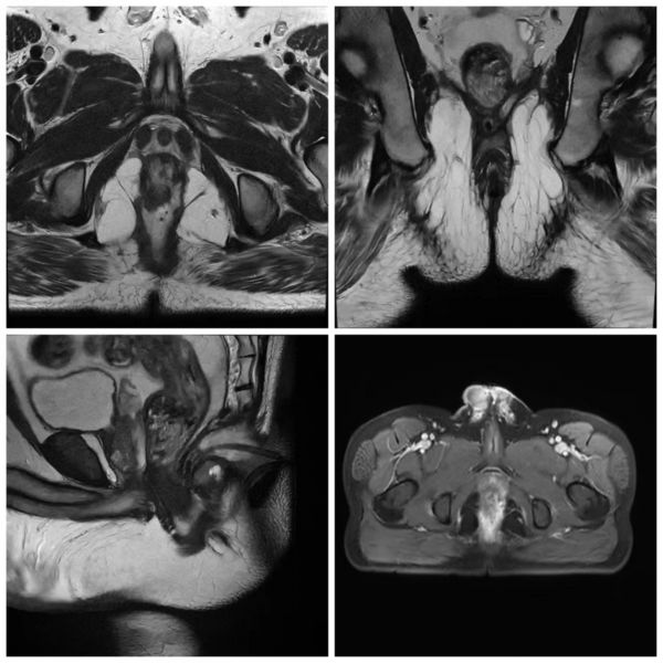
第一次手术前肛管MRI图
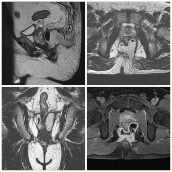
第二期手术前肛管MRI图
第三期手术前肛管MRI图 “当肛瘘的瘘管穿过超过30%的肛门外括约肌、瘘管呈马蹄形、女性患者的前位瘘管、多条瘘管、复发瘘管或存在失禁时,可被定义为复杂性肛瘘。”普四科主任王定树介绍道:肛瘘治疗的目标是根除瘘管,防止复发,减少术后感染并发症,以及对肛门自制力最低限度的影响,术前M R I精准评估、术中精细操作、术后精心护理是手术成功的三大要素。
同时,选择一种既安全又有效的术式是具有挑战性的,因括约肌保留手术包括经括约肌间切开术、经括约肌间瘘管结扎、松挂线术、推移瓣、纤维蛋白胶封闭术、肛瘘栓等导致失禁的风险较低,但具有较高的疾病迁延或复发概率;而非括约肌保留手术包括瘘管切开术、瘘管切除术、紧挂线术等有较高的成功率,但在一些患者中可能会导致排便失禁,当为患者选择术式时,对各种手术技术结果的了解、以及良好手术的判断是非常重要的。
近年来,普四科坚持“人无我有、人有我精”的发展理念,通过“引进来”“送出去”两条腿走路方式,积极开展新技术新项目,特别是在高位复杂性肛瘘等方面取得突出成效。自2020年5月,主刀医生李享祥进修返院后,每年完成复杂性肛瘘手术约150例,手术成功率达95%以上,且大部分为外院手术后复发病例。
患者杜某,男,41岁。2021年6月因“反复肛周疼痛伴流脓流液7个月”就诊普四科,既往有外院肛瘘切除手术及2型糖尿病病史数年,未规范治疗糖尿病。收住院后,完善肛管M R I增强检查、结肠镜、结核等相关术前常规检查,排除合并IBD、结核及肿瘤。因患者原发病灶位于内外括约肌间,随着感染的扩散,脓肿沿括约肌间由“U型马蹄形”脓肿发展为“X型蝴蝶形”脓肿,且脓腔内有较多气体,直肠可见破溃口,考虑合并直肠瘘。同时,因脓肿波及范围广,脓腔及分支瘘管较多,一次手术无法达到痊愈目的,且对肛门括约肌损伤大,术后直接会影响肛门形态及功能,甚至可能导致术后排便失禁。
普四科主任王定树带领手术团队细致阅读影像学资料并制定诊疗方案,认为分期手术最为合适。即第一期手术在不损伤患者肛门括约肌的情况下,将脓腔内的脓液充分引流,并完整清除感染坏死病灶。第二期手术视病灶退缩及吸收情况而定,若脓腔消退吸收局限,予以直接切除,若脓腔消退不理想,需再次行脓腔清创引流手术。
手术现场
10月19日,经普四科团队商议且征得患者同意后,再次行脓肿清创引流+松挂线术,手术沿肛门后方原切口进入,将感染坏死病灶清除,留置小导尿管引流,并放置引流管冲洗,术后恢复良好。
2022年4月11日,患者再次于我院复查,肛管MRI可见瘘管范围明显缩小,科主任王定树认为第三期根治性手术时机已成熟。术中,手术团队沿原切口进入,超声刀切断后方肛门内外括约肌及4/5肛直环,清除肌间残留病灶,并切开后方直肠壁至破损处行直肠推移瓣手术,切口内放置引流管引流,第三期手术顺利完成。经过术后2个月恢复,患者大便已能基本完全控制,伤口也大部分愈合,基本康复。
第一次手术前肛管MRI图
第二期手术前肛管MRI图
第三期手术前肛管MRI图
同时,选择一种既安全又有效的术式是具有挑战性的,因括约肌保留手术包括经括约肌间切开术、经括约肌间瘘管结扎、松挂线术、推移瓣、纤维蛋白胶封闭术、肛瘘栓等导致失禁的风险较低,但具有较高的疾病迁延或复发概率;而非括约肌保留手术包括瘘管切开术、瘘管切除术、紧挂线术等有较高的成功率,但在一些患者中可能会导致排便失禁,当为患者选择术式时,对各种手术技术结果的了解、以及良好手术的判断是非常重要的。
近年来,普四科坚持“人无我有、人有我精”的发展理念,通过“引进来”“送出去”两条腿走路方式,积极开展新技术新项目,特别是在高位复杂性肛瘘等方面取得突出成效。自2020年5月,主刀医生李享祥进修返院后,每年完成复杂性肛瘘手术约150例,手术成功率达95%以上,且大部分为外院手术后复发病例。
扫一扫 手机端浏览

微信服务号