肝胆外科精准手术 挽回车祸外伤小伙
发布时间:2022-05-27 11:01
本文来源: 未知
分享到:
肝胆外科
精准手术
,挽回
车祸外伤
小伙
——肝胆 一科成功实施首例腹腔镜右半肝切除术治疗外伤性肝损伤
4月29日,一名因“车祸外伤后致右上腹胀痛10余小时”的肝损伤患者由外院转入我院肝胆一科,经当地医院与肝胆一科主任王文儿进行远程会诊,诊断为“肝中央型粉碎性损伤(殃及第二肝门)”,需行急诊右半肝切除手术。因当地医院难以完成,经当地医院介绍转入我院肝胆一科手术救治。
——肝胆 一科成功实施首例腹腔镜右半肝切除术治疗外伤性肝损伤
入院后,王文儿结合患者影像学资料,认为肝胆外科完全有能力实施该类型手术,将患者情况与家属沟通后,打消家属顾虑。同时,肝胆外科主任宋新将情况向主管科室医务部汇报,并获得大力支持。
入院不到1小时,经过术前准备,由肝胆一科主任王文儿担任主刀,麻醉科副主任医师胡亚亚实施主麻,一切救治工作有条不紊的展开。术中,经腹腔镜探查发现第二肝门区肝脏内损伤血肿波及第二肝门处,王文儿立即决定按术前规划实施腹腔镜下右半肝切除术,结扎右肝蒂、术中超声定位肝中静脉,沿标记离断肝右、肝短静脉,游离右肝、移出标本,凭借娴熟的肝脏外科技术,耗时5小时15分,手术顺利完成。术中使用自体血回输,失血不超过500ml,生命体征平稳,麻醉复苏后送回病房继续治疗,术后第一天已离床活动。目前患者已康复出院。
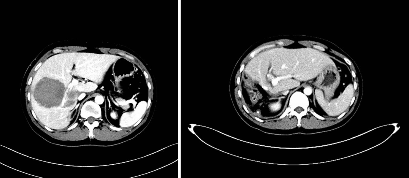
术前CT与术后CT(保留肝中静脉)对比图
术中腔镜下沿肝中静脉右侧断肝和手术标本(肝脏出血破溃断面)
“快刀无声除疾患,良医有术救危人。”患者及家属对医生的信任,是抢救过程中最大动力。近年来,肝胆外科团队一直致力于为肝脏外伤患者提供优质的医疗服务,在精准肝脏外科治疗上精益求精、开拓奋进,砥砺前行。
扫一扫 手机端浏览

微信服务号