心内一科率先自主完成一例极高危左主干钙化旋磨手术
发布时间:2022-05-20 09:28
本文来源: 心内一科
分享到:
5月13日,湘西州人民医院心内一科成功为一名不稳定心绞痛患者开通前降支慢性闭塞病变,同时实施左主干+前降支冠脉内旋磨术及支架植入术。术后患者恢复良好,病情稳定,目前已出院。
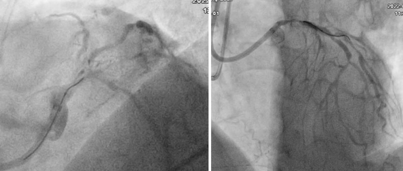
患者,向某,男,56岁,因“活动后胸闷5年”反复在当地医院住院,给予规范的药物治疗后效果不佳,近4月来症状较前加重。4月14日,患者第一次由外院转入我院心内一科,心内一科介入团队为其进行了冠脉造影检查,发现“左主干+三支血管病变”,其中左主干体尾部90%狭窄,前降支近段慢性闭塞,右冠近段次全闭塞,远段慢性闭塞,且左主干体尾部至前降支近中段弥漫重度钙化。根据患者的冠脉病变情况,心内一科建议患者首选外科冠脉搭桥手术。患者及其家属权衡再三拒绝搭桥手术,并要求行冠脉介入治疗。
对于这样一个极其复杂且高危的冠脉病变,心内一科主任朱灿、副主任向红菊科立即组织科内人员进行病情讨论,商量后决定分两次对患者的冠脉进行介入治疗,一期手术对右冠行介入治疗,二期手术治疗左冠。
15日,心内一科介入团队顺利为患者开通右冠的闭塞病变并植入支架,术后患者病情好转,并于18日出院。出院后,患者活动后胸闷症状较前减轻,但考虑到患者左主干体尾部狭窄严重,一旦发生左主干闭塞,死亡的风险极高,故心内一科建议患者再次入院,对左冠行二期介入手术。
5月12日,患者为行二期手术再次入住心内一科。在科主任朱灿,副主任向红菊、陈伟的组织下,心内一科介入团队针对患者的病情制定严密的手术策略及预防术中并发症的预案。因患者前降支闭塞段入口无残端,闭塞段长,重度钙化,属于非常困难的慢性闭塞病变。为充分修饰钙化病变,优化支架效果,需在支架植入前对钙化病变进行旋磨+切割球囊+高压球囊的“组合拳”处理,手术难度大、风险高、耗时长,术前需植入主动脉球囊反搏,增加手术的安全性。主治医师陈也在术前详细地为患者及其家属解释病情和手术过程,取得了患者及其家属的信任,打消了患者对此次手术的恐惧。
心内一科介入团队在为该患者进行冠脉介入治疗 5月13日,心内一科介入团队首先为患者植入主动脉球囊反搏,然后顺利开通前降支慢性闭塞病变,血管内超声检查后先后使用1.25mm、1.75mm旋磨头对左主干及前降支的钙化病变进行旋磨,并顺利地植入支架,手术总耗时3小时余。术后患者恢复良好,胸闷症状消失,目前已出院。
据科主任朱灿介绍道,该手术是非常复杂且风险高的冠脉介入手术,心内一科首次自主在湘西州内对重度狭窄合并重度钙化的左主干进行冠脉内旋磨,为我院在处理极其高危且复杂的冠脉病变积累了宝贵的临床经验,也意味着心内一科介入团队有能力也有信心为湘西州的冠心病患者提供省内优质的冠脉介入诊疗。
患者,向某,男,56岁,因“活动后胸闷5年”反复在当地医院住院,给予规范的药物治疗后效果不佳,近4月来症状较前加重。4月14日,患者第一次由外院转入我院心内一科,心内一科介入团队为其进行了冠脉造影检查,发现“左主干+三支血管病变”,其中左主干体尾部90%狭窄,前降支近段慢性闭塞,右冠近段次全闭塞,远段慢性闭塞,且左主干体尾部至前降支近中段弥漫重度钙化。根据患者的冠脉病变情况,心内一科建议患者首选外科冠脉搭桥手术。患者及其家属权衡再三拒绝搭桥手术,并要求行冠脉介入治疗。
15日,心内一科介入团队顺利为患者开通右冠的闭塞病变并植入支架,术后患者病情好转,并于18日出院。出院后,患者活动后胸闷症状较前减轻,但考虑到患者左主干体尾部狭窄严重,一旦发生左主干闭塞,死亡的风险极高,故心内一科建议患者再次入院,对左冠行二期介入手术。
5月12日,患者为行二期手术再次入住心内一科。在科主任朱灿,副主任向红菊、陈伟的组织下,心内一科介入团队针对患者的病情制定严密的手术策略及预防术中并发症的预案。因患者前降支闭塞段入口无残端,闭塞段长,重度钙化,属于非常困难的慢性闭塞病变。为充分修饰钙化病变,优化支架效果,需在支架植入前对钙化病变进行旋磨+切割球囊+高压球囊的“组合拳”处理,手术难度大、风险高、耗时长,术前需植入主动脉球囊反搏,增加手术的安全性。主治医师陈也在术前详细地为患者及其家属解释病情和手术过程,取得了患者及其家属的信任,打消了患者对此次手术的恐惧。
心内一科介入团队在为该患者进行冠脉介入治疗
据科主任朱灿介绍道,该手术是非常复杂且风险高的冠脉介入手术,心内一科首次自主在湘西州内对重度狭窄合并重度钙化的左主干进行冠脉内旋磨,为我院在处理极其高危且复杂的冠脉病变积累了宝贵的临床经验,也意味着心内一科介入团队有能力也有信心为湘西州的冠心病患者提供省内优质的冠脉介入诊疗。
扫一扫 手机端浏览

微信服务号