我院荣获湖南省专业学位研究生优秀教学案例
发布时间:2022-05-19 18:37
本文来源: 未知
分享到:
近日,湖南省教育厅公布了“2021年度湖南省研究生优秀教学案例”评审结果,吉首大学有3项优秀案例成功入选。其中,由吉首大学推荐,院长、临床医学博士黄纯海指导,神经外二科副主任田志申报的研究生教学案例《动脉瘤性蛛网膜下腔出血的诊疗》获评专业学位研究生优秀教学案例,这也是我院首次获得该项殊荣。
该教学案例主要描述了动脉瘤性蛛网膜下腔出血患者诊疗的全过程,从临床的问诊、查体、辅助检查的阅读及诊断治疗四个方面进行蛛网膜下腔出血等相关知识的教学、培训,从而评估学生的临床思维能力,指导学生正确理解、掌握动脉瘤性蛛网膜下腔出血的病因、临床表现、影像学表现以及鉴别诊断和治疗。
据悉,动脉瘤性蛛网膜下腔出血通常为颅内动脉瘤破裂,血液直接流入蛛网膜下腔引起的一种临床综合征,发病凶险,院前死亡率较高,是常见的急危重症,往往会对患者造成不同程度的神经功能废损,给患者带来极大的生命威胁。一旦证实为颅内动脉瘤破裂,应尽快准备实施开颅夹闭手术或血管内介入栓塞治疗,治疗目的主要是防治再出血、血管痉挛及脑积水等并发症,降低死亡率和致残率。目前,颅内动脉瘤治疗的主要方法有外科手术和介入治疗,介入治疗因其精准微创、病人恢复快,已为大多数病患所接受。
术前、术后DSA对比图
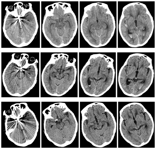
术后第一天、术后一周、术后一个月CT对比图 基于本地区发病率明显高于其他地区,所造成的经济负担甚至社会负担也较为突出,因病致贫返贫的家庭众多。院长黄纯海高度重视,要求医院教学培养工作要面向基层和乡村亟需解决的医疗卫生困点、难点,助力健康扶贫成果与乡村振兴有效衔接,培养更多基层百姓健康的“守门人”。案例成型前期,院长黄纯海多次指导修改,最终形成优秀教学案例搬进课堂。
近年来,我院高度重视并全力支持教学工作,始终坚持传道受业解惑职责,充分发挥临床教学优势、积极探索优质教学模式,提升专业学位研究生教学水平,并取得了较好成效。该篇教学案例荣获湖南省专业学位研究生优秀教学案例,是我院加强科研教学内涵建设,深化专业学位研究生培养模式改革的有益探索成果。
据悉,动脉瘤性蛛网膜下腔出血通常为颅内动脉瘤破裂,血液直接流入蛛网膜下腔引起的一种临床综合征,发病凶险,院前死亡率较高,是常见的急危重症,往往会对患者造成不同程度的神经功能废损,给患者带来极大的生命威胁。一旦证实为颅内动脉瘤破裂,应尽快准备实施开颅夹闭手术或血管内介入栓塞治疗,治疗目的主要是防治再出血、血管痉挛及脑积水等并发症,降低死亡率和致残率。目前,颅内动脉瘤治疗的主要方法有外科手术和介入治疗,介入治疗因其精准微创、病人恢复快,已为大多数病患所接受。
术前、术后DSA对比图
术后第一天、术后一周、术后一个月CT对比图
近年来,我院高度重视并全力支持教学工作,始终坚持传道受业解惑职责,充分发挥临床教学优势、积极探索优质教学模式,提升专业学位研究生教学水平,并取得了较好成效。该篇教学案例荣获湖南省专业学位研究生优秀教学案例,是我院加强科研教学内涵建设,深化专业学位研究生培养模式改革的有益探索成果。
扫一扫 手机端浏览

微信服务号