支气管镜介入治疗打开生命呼吸通道
发布时间:2022-04-26 08:54
本文来源: 呼吸与危重症医学科
分享到:
气管是人的呼吸通道,如果气管出现问题,呼吸也将受到影响,严重时会危及人的生命。近日,湘西州人民医院呼吸与危重症医学科成功为一位声门下区肿物患者实施“声门下区气管肿物圈套术”,该手术的顺利开展标志着我院支气管镜介入治疗方面取得了新的突破。
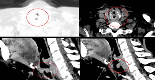
患者为48岁中年女性,因颅内出血在行“气管插管全麻下颅内多发血肿清除+去骨瓣减压术+颞肌颞浅动脉贴敷+侧脑室穿刺外引流术”,术后康复治疗期间因出现呼吸困难,夜间为甚,伴有明显喘鸣音,完善CT检查提示:声门下气管内新生物,占据气管内径80%以上,仅靠两侧缝隙通气。
经过多科室会诊,呼吸与危重症医学二科主任王先勇在了解患者病史及喉部增强CT后,认为其声门下肿物随时可能因患者少量的痰液引起气道堵塞,从而导致窒息的发生,需尽快切除患者的气管肿物。
因肿物大且血运丰富,声门下区气管肿物的气管镜下切除可能有大出血风险,再者因声门下区存在视野及气管镜操作盲区,无法肯定能否将肿物尽可能切除干净,技术难度较大。以往这类患者要么舟车劳顿转至长沙、上海等省级大医院呼吸科行镜下介入治疗,或者行创伤更大的外科手术。
王先勇根据多年的支气管镜介入治疗经验,在结合CT室、介入血管科出血风险评估的基础上,带领呼吸与危重症医学科支气管镜介入治疗团队制定详细、严谨的治疗方案及应急预案。
4月14日上午,在麻醉科的保驾护航下行“全麻喉罩下声门下区气管肿物圈套术”,术中在医师、护师的协助下,由王先勇主要操作,镜下可见声门下区气管的肿物,顺利将肿物套扎、切除,并将肿物予网篮取出,肿物大小约1.3cmX1.3cm,在切割面处予冷冻治疗以减少疤痕形成及新生物再次生长可能,手术过持续约1小时。术后第二、四、七天随访,患者无咯血,呼吸顺畅,喘鸣音消失。
近年来,呼吸与危重症医学科介入治疗团队在王先勇的带领下不断发展壮大,并持续开展新技术、新业务,引进国内、国际治疗新理念,勇攀医学高峰。此次在影像科、介入科、麻醉科等相关科室的支持与配合下成功开展“声门下肿物圈套术”,充分体现了我院综合实力,有力提升了我院在四省市边区的影响力,为更多老百姓生命健康保驾护航。
患者CT资料
声门下新生物(狭窄70-80%),给予电圈套治疗后取出新生物
清除新生物后,给予冷冻治疗
呼吸内镜团队镜下治疗中
患者为48岁中年女性,因颅内出血在行“气管插管全麻下颅内多发血肿清除+去骨瓣减压术+颞肌颞浅动脉贴敷+侧脑室穿刺外引流术”,术后康复治疗期间因出现呼吸困难,夜间为甚,伴有明显喘鸣音,完善CT检查提示:声门下气管内新生物,占据气管内径80%以上,仅靠两侧缝隙通气。
经过多科室会诊,呼吸与危重症医学二科主任王先勇在了解患者病史及喉部增强CT后,认为其声门下肿物随时可能因患者少量的痰液引起气道堵塞,从而导致窒息的发生,需尽快切除患者的气管肿物。
因肿物大且血运丰富,声门下区气管肿物的气管镜下切除可能有大出血风险,再者因声门下区存在视野及气管镜操作盲区,无法肯定能否将肿物尽可能切除干净,技术难度较大。以往这类患者要么舟车劳顿转至长沙、上海等省级大医院呼吸科行镜下介入治疗,或者行创伤更大的外科手术。
王先勇根据多年的支气管镜介入治疗经验,在结合CT室、介入血管科出血风险评估的基础上,带领呼吸与危重症医学科支气管镜介入治疗团队制定详细、严谨的治疗方案及应急预案。
4月14日上午,在麻醉科的保驾护航下行“全麻喉罩下声门下区气管肿物圈套术”,术中在医师、护师的协助下,由王先勇主要操作,镜下可见声门下区气管的肿物,顺利将肿物套扎、切除,并将肿物予网篮取出,肿物大小约1.3cmX1.3cm,在切割面处予冷冻治疗以减少疤痕形成及新生物再次生长可能,手术过持续约1小时。术后第二、四、七天随访,患者无咯血,呼吸顺畅,喘鸣音消失。
近年来,呼吸与危重症医学科介入治疗团队在王先勇的带领下不断发展壮大,并持续开展新技术、新业务,引进国内、国际治疗新理念,勇攀医学高峰。此次在影像科、介入科、麻醉科等相关科室的支持与配合下成功开展“声门下肿物圈套术”,充分体现了我院综合实力,有力提升了我院在四省市边区的影响力,为更多老百姓生命健康保驾护航。
患者CT资料
声门下新生物(狭窄70-80%),给予电圈套治疗后取出新生物
清除新生物后,给予冷冻治疗
呼吸内镜团队镜下治疗中
扫一扫 手机端浏览

微信服务号