转化治疗带来生命希望
发布时间:2022-04-18 11:42
本文来源: 未知
分享到:
转化治疗带来生命希望
——肝胆一科成功为一例晚期肝门胆管癌患者转化治疗后实施肿瘤根治性手术
近日,肝胆一科团队成功为一例晚期肝门胆管癌患者转化治疗成功,并成功实施了肿瘤根治性切除手术,即成功实施右三肝联合全尾叶切除+门静脉左支节段切除重建+左肝外叶胆管空肠Roux-en-Y吻合高难度术式,该例晚期胆管癌患者成功转化降期后获得手术机会,从而进行肿瘤根治性切除术,为该类患者的治疗带来了新的希望,推动了我院肝胆外科治疗理念的发展。
——肝胆一科成功为一例晚期肝门胆管癌患者转化治疗后实施肿瘤根治性手术
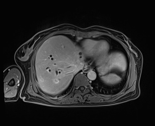
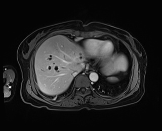
经知情同意后,2021年7月15日在局麻下行PTBD穿刺引流减黄,并于2021年8月2日行肿块活检术,术后病理结果为腺癌,经过减黄、营养支持、护肝等治疗后,患者全身各指标好转后于2021年8月12日开始实施化疗联合免疫治疗进行转化,经过7个月的转化治疗,复查肝胆增强磁共振示:右肝转移灶消失,肝门肿块缩小,同时进一步完善PET-CT,未见肿瘤全身扩散,局部与MRI一致,考虑肿瘤转化降期成功,而此时,患者免疫治疗相关药物不良反应开始出现,表现为皮疹、口腔溃疡等,再次经科内讨论,认为手术条件已经成熟,可以考虑手术治疗,术前完善三维可视化肝脏体积评估,残留左外叶占标准肝体积45.6%,符合指南肝切除预留肝体积指标。
转化治疗前 转化治疗后
转化治疗后3D评估
肝胆一科团队经充分术前准备,在手术室、麻醉科密切配合下,3月2日,由主任医师王文儿主刀,行右三肝联合全尾叶切除+门静脉左支节段切除重建+左肝外叶胆管空肠Roux-en-Y吻合术,术后经重症医学团队、我科医护团队密切配合,悉心指导,并贯彻术后快速康复理念,患者顺利康复出院。
术中情况
王文儿介绍,转化治疗(conversion therapy)是近年来备受关注的主题。其定义为对最初不能切除的肿瘤进行化疗、免疫治疗、靶向治疗等系统治疗后肿瘤缩小后达到手术标准,进行 R0 根治性手术,随着有效的化疗、免疫治疗、靶向治疗等方案的可用性和创新的外科技术的发展,部分的晚期的病人可以通过转化治疗降期后获得肿瘤R0根治性切除机会,进而为患者长期生存创造机会。
近1年来,州人民医院肝胆一科团队紧跟时代发展步伐,不断更新治疗理念,与时俱进,在市、州级率先开展3D腹腔镜下肝实质优先入路解剖性肝切除,循PCD 引流管路径微小切口联合经皮肾镜治疗重症急性胰腺炎胰周感染性坏死(IPN),全腹腔镜联合肝脏离断+门静脉结扎两步肝切除术(Lap-ALPPS),胆管恶性肿瘤的转化治疗,肝脏恶性肿瘤的转化治疗,意外胆囊癌二期根治手术联合腹腔热灌注化疗,腹腔镜下肝门胆管癌根治术,腹腔镜下亚肝段切除术,技术水平省内领先,以最前沿的治疗理念为人民群众的生命健康保驾护航,助力武陵山区域医疗中心建设。
扫一扫 手机端浏览

微信服务号