骨三科成功为患者取出遗留10余年的“悬颈之刃”
发布时间:2022-02-25 11:37
本文来源: 骨三科
分享到:
颈部是人体最为危险的部位之一,以重要血管、神经密集著称,而颈部的外伤往往都是非死即残,更遑论刀刃残留于此。近日,湘西土家族苗族自治州人民医院骨三科手显微外科团队就接收了这样一位特殊的患者。
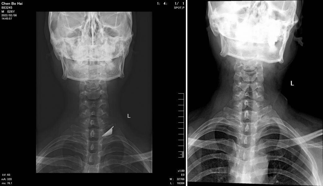
该患者10余年前因意外致左侧颈部被水果刀刺入,断裂的刀刃遗留于颈部颈椎旁,然而运气使然,这枚神奇的刀刃避开了颈动脉、颈静脉、臂丛神经、椎动脉等重要的组织,留存于颈部深处。没有致命这是幸运的,然而时隔多年,再要取出刀刃,手术难度则增加了1倍不止。
行医如逆水行舟,需排除万难,该院骨三科手显微外科则是这样一个迎难而上,敢于承担风险的团队,誓为患者的生命健康保驾护航。
该患者10余年前因意外致左侧颈部被水果刀刺入,断裂的刀刃遗留于颈部颈椎旁,然而运气使然,这枚神奇的刀刃避开了颈动脉、颈静脉、臂丛神经、椎动脉等重要的组织,留存于颈部深处。没有致命这是幸运的,然而时隔多年,再要取出刀刃,手术难度则增加了1倍不止。
“悬颈之刃”术前、术后对比图
然而该院骨三科主任刘朝晖却迎难而上,带领手显微外科团队为其制定手术方案和术前计划,在与患者充分沟通且告知手术的危险后,在患者的殷切希望下开展了手术,术中抽丝剥茧,绕过蠢蠢欲动的颈动脉,避开虎视眈眈的颈静脉,剥离掌管整个上臂的臂丛神经,在一片坚韧的结缔组织中取出了这枚随时可以危及生命的夺命之刃,目前患者已伤愈出院。
行医如逆水行舟,需排除万难,该院骨三科手显微外科则是这样一个迎难而上,敢于承担风险的团队,誓为患者的生命健康保驾护航。
扫一扫 手机端浏览

微信服务号