数字医学逆向工程精准定位切除颅脑肿瘤
发布时间:2022-01-07 15:47
本文来源: 神经外科
分享到:
近日,神经外一科成功利用数字医学逆向工程精准定位,切除一例颅内良性肿瘤,术后患者恢复良好。
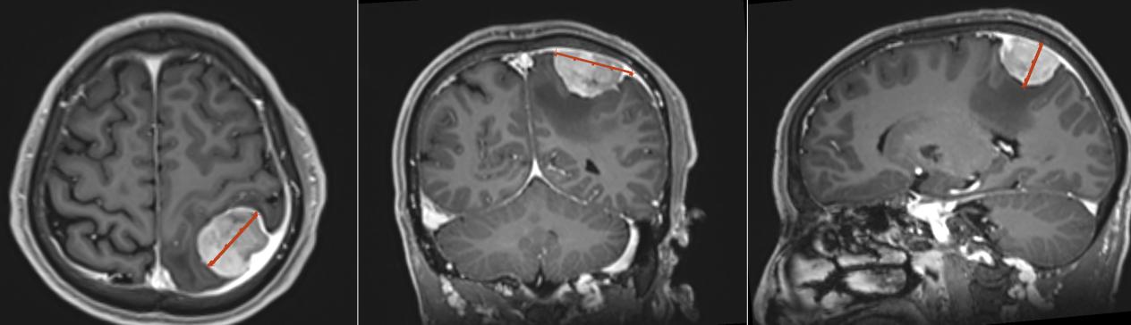
患者满某今年56岁,龙山县人,因头痛头晕半月,发现颅内占位1周入院治疗,经完善MRI等检查后提示颅内左侧顶叶占位。
神经外一科主任向昌华带领团队利用数字医学技术对满某的颅内病灶进行三维重建,结果显示颅内占位大小约3.1*4.0*2.2cm,邻近中央后回的人体感觉功能区。考虑满某正值盛年,若不及时手术治疗放任肿瘤继续生长,将会带来更加严重的神经功能隐患,如感觉障碍、肢体偏瘫等。经过反复沟通后,患者及家属同意手术方案。
数字神经外科团队利用重建的3D模型进行了手术预演,调整了最佳手术体位、入路及骨窗,利用逆向工程打印开颅手术导板,模拟实施了肿瘤切除手术。在手术组医师与麻醉医师的密切配合下,手术过程进展顺利,历时两小时完整切除肿瘤,术后恢复理想,现已顺利出院。
自2019年,我院成立数字神经外科团队以来,利用3D数字成像技术及数字医学工程技术广泛开展颅内出血、颅内肿瘤切除等外科手术治疗百余例。目前,该项技术取得良好临床疗效,具有定位精准,减少开颅创伤,加速患者康复,缩短住院时间等优势。
“数字神经外科通过结合信息工程学技术,利用逆向工程3D打印为患者设计个性化开颅手术导板,将传统经验性开颅转变为数字化精准开颅,减少手术创伤,促进患者康复。”神经外科学科带头人、院长黄纯海表示:数字医疗时代已然到来,我院将牢牢把握公立医院高质量发展战略机遇,以创新为动力,以满足人民健康需求为目标,提质增效,为病患提供精准、优质、高端的医疗技术服务,开启我院向高质量快速发展转型新征程。
MRI提示左侧顶部占位性病变,考虑脑膜瘤
三维重建,设计肿瘤的定位导板
数字医学工程3D打印手术定位导板
术前定位,数字化精准开颅
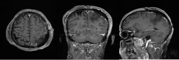
术后复查,肿瘤一级切除
患者顺利出院,并为我院精湛医术点赞。
患者满某今年56岁,龙山县人,因头痛头晕半月,发现颅内占位1周入院治疗,经完善MRI等检查后提示颅内左侧顶叶占位。
神经外一科主任向昌华带领团队利用数字医学技术对满某的颅内病灶进行三维重建,结果显示颅内占位大小约3.1*4.0*2.2cm,邻近中央后回的人体感觉功能区。考虑满某正值盛年,若不及时手术治疗放任肿瘤继续生长,将会带来更加严重的神经功能隐患,如感觉障碍、肢体偏瘫等。经过反复沟通后,患者及家属同意手术方案。
数字神经外科团队利用重建的3D模型进行了手术预演,调整了最佳手术体位、入路及骨窗,利用逆向工程打印开颅手术导板,模拟实施了肿瘤切除手术。在手术组医师与麻醉医师的密切配合下,手术过程进展顺利,历时两小时完整切除肿瘤,术后恢复理想,现已顺利出院。
自2019年,我院成立数字神经外科团队以来,利用3D数字成像技术及数字医学工程技术广泛开展颅内出血、颅内肿瘤切除等外科手术治疗百余例。目前,该项技术取得良好临床疗效,具有定位精准,减少开颅创伤,加速患者康复,缩短住院时间等优势。
“数字神经外科通过结合信息工程学技术,利用逆向工程3D打印为患者设计个性化开颅手术导板,将传统经验性开颅转变为数字化精准开颅,减少手术创伤,促进患者康复。”神经外科学科带头人、院长黄纯海表示:数字医疗时代已然到来,我院将牢牢把握公立医院高质量发展战略机遇,以创新为动力,以满足人民健康需求为目标,提质增效,为病患提供精准、优质、高端的医疗技术服务,开启我院向高质量快速发展转型新征程。
MRI提示左侧顶部占位性病变,考虑脑膜瘤
三维重建,设计肿瘤的定位导板
数字医学工程3D打印手术定位导板
术前定位,数字化精准开颅
术后复查,肿瘤一级切除
患者顺利出院,并为我院精湛医术点赞。
扫一扫 手机端浏览

微信服务号