我院成功为一漏斗胸患者行畸形矫正手术
发布时间:2021-09-15 11:29
本文来源: 未知
分享到:
矫正的是身躯 重塑的是信心
——我院成功为一漏斗胸患者行畸形矫正手术
——我院成功为一漏斗胸患者行畸形矫正手术
近日,我院心胸外科专家顺利为一位被胸廓畸形困扰多年的患者进行了微创手术治疗,手术效果满意,患者已康复出院。
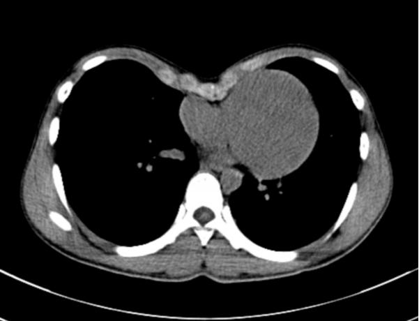
20岁小向(化名)胸前区凹陷畸形已有多年,被诊断为重度漏斗胸,心脏明显受压移位。小向今年已是大一学生,之前自己及家长对他胸前区的凹陷一直没有重视,上大学后自觉胸廓凹陷对其日常生活的困扰越来越显著并存胸闷不适,在了解到其胸廓畸形可手术治疗后经多方打听慕名来到我院就诊。就诊时的胸部CT显示:胸前区明显凹陷,凹陷最低点距离脊柱前缘5cm左右,心脏明显受压向左移位。
术前我院心胸外科团队对患者进行了精准测量和评估,经科内讨论后决定为其进行微创手术治疗即NUSS手术(胸骨后钢板支撑法)。在心胸外科主任黄勇科的指导下,主治医师张建军、钟强相互配合,术中采取剑突下辅助小切口,充分地游离和建立胸骨后隧道, 用手指引导,顺利引导钢板通过,确保不损伤心脏,手术顺利完成。术后胸闷显著缓解,恢复良好。
“因为年龄偏大,一是患者肋骨的弹性下降,术后其疼痛感会较重,且手术置入钢板的难度也会增加;二是术后胸廓再次塑形和定形的能力下降,导致钢板取出后可能再次出现胸廓凹陷;再者患者胸廓重塑性减退,胸骨后心脏受压明显,术中出血心脏及大血管损伤风险增加。”张建军解释道。
漏斗胸是儿童先天性胸廓畸形中最常见的类型之一,根据外观可分为对称和不对成型,根据凹陷程度可分为轻度、中度和重度。对于中度及以上的漏斗胸患者,或伴有心肺功能受累的患者,是需要积极治疗,否则将会影响患者的生长发育,甚至会随年龄的增长出现心肺功能不全。传统手术方式是胸骨翻转术,即切断胸骨及胸骨旁多根肋软骨后翻转固定,手术创伤巨大,术后恢复困难。
目前已常规采用钢板进行矫形,即微创NUSS手术,该手术年龄一般是3-8岁为佳,术后2年取出钢板,通过手术能有效恢复胸廓的正常形态,取得满意疗效。湘西州人民医院心胸外科提醒:多关注孩子的健康,发现胸廓畸形请及时就诊。
术前CT显示胸前区凹陷畸形导致心脏明显受压移位
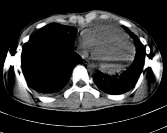
术前术后对比,胸前区凹陷畸形得到明显的改善
术后的胸片显示置入的钢板位置良好,胸廓矫形满意
扫一扫 手机端浏览

微信服务号