神经内一科卒中团队成功救治一名突发急性脑梗死患者
发布时间:2021-05-28 11:07
本文来源: 未知
分享到:
上下联动 抢抓黄金时间窗
——神经内一科卒中团队成功救治一名突发急性脑梗死患者
——神经内一科卒中团队成功救治一名突发急性脑梗死患者
“我院收治了一名女性患者,神志昏迷,双侧瞳孔散大,刺激手脚均无反应,医生抽血化验、行头颅CT未见异常,请求上级医院帮助治疗。”近日,湘西卒中中心平台接到一则紧急讯息,我院神经内一科卒中团队与下级医院通过脑卒中救治网络,上下联动,上演一场了“挽救生命接力赛”,成功救治一名突发急性脑梗死患者。
4月8日,47岁的周女士像往常一样,晚饭过后与家人闲聊,大约30分钟之后家人再次见她时已毫无反应瘫坐在沙发,不管家人如何呼唤都没回应。家人立即拨打120将周女士送至当地县人民医院。
医生给周女士检查时发现神志昏迷,双侧瞳孔散大,刺激手脚均无反应,抽血化验、行头颅CT未见异常,无法确定昏迷原因。遂立即与湘西卒中中心平台联系,咨询神经内一科主任田勇。通过与当地医生交流,以及使用多媒体查看相关检查资料,了解到患者既往有风湿性心脏瓣膜病,未规律治疗,现突然出现昏迷,田勇立即作出判断,考虑为急性脑梗死——基底动脉尖综合征。
“该综合征是因颅内最重要的基底动脉被血栓堵塞,出现中枢脑干缺血缺氧坏死,一旦缺血缺氧时间超过6小时,脑干就会完全坏死,病人非死即残,最快开通被血栓堵塞的基底动脉是成功救治病人的关键。”田勇介绍道。
时间就是生命。田勇凭借丰富的经验和敏锐的判断力,立即指导当地医院启动卒中绿色通道,排除禁忌症后,及时给病人进行静脉溶栓,并立即转入州人民医院进一步检查及治疗。
在县医院120到达我院急诊时,神经内一科卒中团队早已提前在急诊科等待,医生们立即接过“接力棒”,启动卒中绿色通道快速进行体格检查,发现患者刺激下可以做出反应,四肢恢复自主活动,根据经验,应该是药物把堵塞大血管的血栓溶解了。
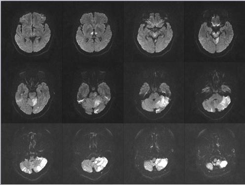
按照“先诊疗,后付费”救治原则,脑卒中救治医生全程陪护,第一时间完成头颈部CT血管成像,可以明确闭塞的基底动脉完全再通,随即收治入神经内一科重症病房,通过后续治疗,患者病情好转,生活恢复正常。
“基底动脉尖综合征发病率较低,但病情凶险,发展速度快,预后差,致残率和死亡率高,其危险因素包括高血压、糖尿病、冠心病(房颤、心脏瓣膜病)、高脂血症、高同型半胱氨酸血症、颈动脉斑块、吸烟、饮酒等,病因主要为血栓形成和栓塞,也可由动脉炎、动脉瘤和血流动力学改变等。”田勇告诫广大患者:面对疾病不容忽视,在健康生命面前容不了丝毫疏忽。
2014年初,我院开始酝酿卒中中心建设事宜,2016年底获批成为全省首批4家省卒中中心建设试点单位之一,2017年正式下文成立卒中中心。多年来,我院一边积极完善自身卒中中心建设工作,一边带动州内各县市医院共同建立了湘西脑卒中救治网络,通过上下联动,为全州脑卒中病发患者开辟了一条畅通的生命通道。
当前党史学习教育正在全院有序推进,呈现了多点开花局面。神经内一科卒中团队立足群众需求,结合工作实际,充分发挥科室特色,以疾病特点为牵引,以流程创新为手段,以实际疗效为目标,切实将党史学习教育成果成果转化为工作动力和成效,为群众办急事、难事,全力为脑卒中患者生命健康保驾护航。
患者入院时头颈部CTA
患者入院后头颅磁共振弥散成像
患者出院时恢复情况
扫一扫 手机端浏览

微信服务号