心内二科成功植入湖南首台兼容核磁共振双腔ICD
发布时间:2020-12-30 09:20
本文来源: 未知
分享到:
心内二科成功植入湖南首台兼容核磁共振双腔ICD
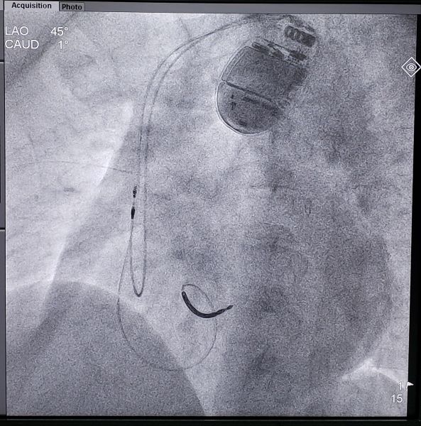
12月27日,我院心内二科罗亚雄副主任等为一名患者植入一台兼容核磁共振的双腔心律转复除颤器(ICD),手术全程耗时仅60分钟,术中测试各参数良好,手术顺利完成。据了解,这是我省首台兼容磁共振的双腔ICD植入。
患者为一名51岁男性,因心力衰竭入院,经临床、心脏彩超和心脏磁共振等检查,诊断为肥厚型心肌病,患者同时合并心脏射血分数降低,而且有家族猝死病史,家族成员已有多人发生猝死。患者此次住院期间动态心电图显示有频发室性早搏和短阵室速,达到ICD植入1.5级预防指征,需植入ICD。考虑到患者相对年轻,心脏病变或其他病情今后还可能需要行核磁共振检查,建议患者植入兼容核磁共振的ICD。经反复与患者和家属沟通,患者选择植入雅培兼容核磁共振双腔ICD(Ellipse CD 2377-36QC)。
据心内二科王福军主任介绍,我国每年死于心脏性猝死的人数高达54.4万,而植入式ICD的植入是目前预防心脏性猝死最为有效的手段。这次由罗亚雄副主任主刀完成的我省第一台兼容核磁共振双腔ICD有以下特点:1.支持全身核磁兼容,安心磁共振检查;2.增加心腔突发性及远场形态学,大大降低误放电;3.增加ST段监测,提早发现心肌梗死;4.生理性外形、体积小、厚度薄、质量轻。这类新型ICD的临床应用,将给患者带来更多更实际的益处。
罗亚雄副主任等正在进行植入兼容核磁共振双腔ICD手术
图为患者植入的兼容核磁共振双腔ICD及术后影像
扫一扫 手机端浏览

微信服务号