超声医学科开展超声造影检查
  发布时间:2020-12-02 17:55
  本文来源: 未知  
  分享到:
  
              
        11月27日,湘西州人民医院超声科主任王友军带领团队成功为患者开展肝脏、肾脏、甲状腺超声造影。该技术的成功开展及应用,可有效提高肿瘤、结节、囊肿等鉴别诊断能力,为临床的进一步治疗提供依据。 
 
    
   
  
  
   
  
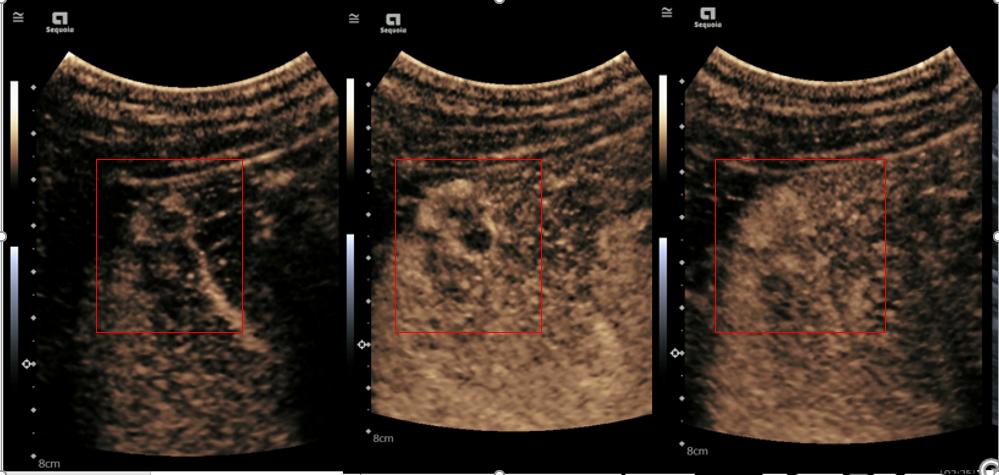
肝脏血管瘤造影图像显示
 
   
  
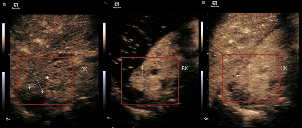
肾脏肿瘤造影图像显示
 
   
  
甲状腺肿瘤造影图像显示       据悉,超声造影技术为超声科2020年重点新技术项目之一,肝脏超声造影过程仅需6至8分钟,是一项无创、无电离辐射、价格低廉的新型影像学技术,为后续超声下微波、射频介入技术奠定基础,将全面提升医院肿瘤综合诊断及治疗能力。 
 
    
   
  
超声造影剂以及已配制的造影剂,并通过留置针静脉注射造影剂。       在医院多学科发展的道路上,超声科将继续不忘初心、勇于挑战,努力提升自身专业技术,以临床需要为发展方向,做好临床的第三只眼
 ,为全州及四省市边区广大群众的健康诊疗提供依据。
 
  
 
相关科普:
超声造影是什么?
俗称增强超声,是一项能明显提高超声诊断的分辨力、敏感性和特异性的技术,被称为超声医学发展过程中的一次革命性飞跃,是目前最先进的超声成像技术,被誉为无创伤性微循环血管造影。它在常规超声检查的基础上,通过外周静脉注射超声造影剂,增强人体的血流信号显示率,提高人体组织低速血流以及微小血管显示的敏感性,提供比彩色多普勒超声更丰富、更明确的诊断信息。
为什么要使用造影剂?
早期的造影剂仅仅是为了增强超声回波信号,使得二维、M型和血流的显示更加清晰、敏感,随着第二代造影剂的出现,造影剂作为血池示踪剂对组织内部的毛细血管的回波信号的增强,可以直接观察特定组织的二维结构和微循环的灌注和消退情况,通过不同病变常常表现出特定的灌注、消退过程和增强特征,提高超声诊断的灵敏性和特异性,为临床鉴别诊断提供了新的方法。
超声造影优势:
1、检查的成像原理相比:
超声造影具有动态、实时、连续显示肝脏实质和病灶血管构架及组织灌注状况等优势。诊断效能较常规超声有显著提高。
2、检查时间相比:
超声造影是实时动态成像,可多次反复观察;增强CT是间歇扫描成像,不可反复及长时间观察。
3、检查的安全性相比:
临床医生和病人对影像学过度辐射引起安全性问题的意识,尤其是 CT 检查,儿童和其他一些需要 CT 重复检查的慢性疾病如何避免。而超声造影没有离子辐射;有较高的安全性、可携带性、广泛应用性和较高病人接受率。因为微泡具有较高安全性和可重复性以及低副作用超声造影可广泛被接受;超声造影是血管血池性内造影剂,不进入组织间隙,可经呼吸排出体外,没有心、肝、肾毒性;而其他造影剂需经肝、肾代谢,过敏率高。
 
 
 
   超声科王友军主任为患者进行超声造影检查
 
       近年来,超声科积极开展新业务、新技术,努力打造学术型团队,随着胃肠超声造影检查、盆底超声检查等新项目的开展,超声科业务发展快速驶向快车道,专业团队日益壮大。 
  
  肝脏血管瘤造影图像显示
 
  肾脏肿瘤造影图像显示
 
  甲状腺肿瘤造影图像显示
 
  超声造影剂以及已配制的造影剂,并通过留置针静脉注射造影剂。
相关科普:
超声造影是什么?
俗称增强超声,是一项能明显提高超声诊断的分辨力、敏感性和特异性的技术,被称为超声医学发展过程中的一次革命性飞跃,是目前最先进的超声成像技术,被誉为无创伤性微循环血管造影。它在常规超声检查的基础上,通过外周静脉注射超声造影剂,增强人体的血流信号显示率,提高人体组织低速血流以及微小血管显示的敏感性,提供比彩色多普勒超声更丰富、更明确的诊断信息。
为什么要使用造影剂?
早期的造影剂仅仅是为了增强超声回波信号,使得二维、M型和血流的显示更加清晰、敏感,随着第二代造影剂的出现,造影剂作为血池示踪剂对组织内部的毛细血管的回波信号的增强,可以直接观察特定组织的二维结构和微循环的灌注和消退情况,通过不同病变常常表现出特定的灌注、消退过程和增强特征,提高超声诊断的灵敏性和特异性,为临床鉴别诊断提供了新的方法。
超声造影优势:
1、检查的成像原理相比:
超声造影具有动态、实时、连续显示肝脏实质和病灶血管构架及组织灌注状况等优势。诊断效能较常规超声有显著提高。
2、检查时间相比:
超声造影是实时动态成像,可多次反复观察;增强CT是间歇扫描成像,不可反复及长时间观察。
3、检查的安全性相比:
临床医生和病人对影像学过度辐射引起安全性问题的意识,尤其是 CT 检查,儿童和其他一些需要 CT 重复检查的慢性疾病如何避免。而超声造影没有离子辐射;有较高的安全性、可携带性、广泛应用性和较高病人接受率。因为微泡具有较高安全性和可重复性以及低副作用超声造影可广泛被接受;超声造影是血管血池性内造影剂,不进入组织间隙,可经呼吸排出体外,没有心、肝、肾毒性;而其他造影剂需经肝、肾代谢,过敏率高。
扫一扫 手机端浏览

 微信服务号
            微信服务号