心胸外科开展单操作孔经胸腔镜下肺癌根治术
发布时间:2020-11-10 08:58
本文来源: 未知
分享到:
患者男性,51岁,因“反复胸闷”入我院心血管内科住院治疗,完善检查发下左下肺占位,经我科医师会诊后考虑“左下肺占位:恶性肿瘤可能性大”建议积极手术治疗。转入我科后予积极完善术前检查,经充分术前准备及术前讨论评估后在黄勇科主任为首的心胸外科团队努力下成功实施了单操作孔VATS下左下肺叶切除术并进行了系统淋巴结清扫,手术非常顺利,出血甚微。
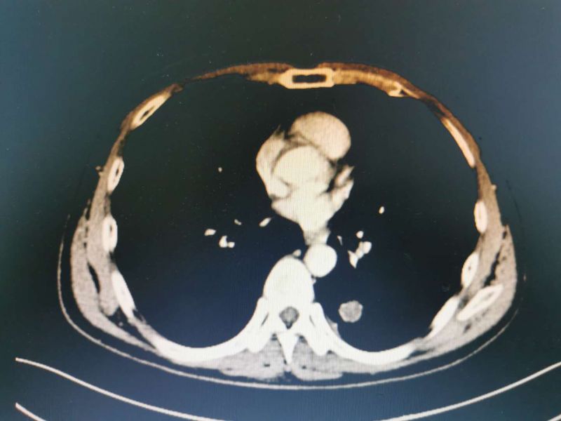
患者CT影像学表现
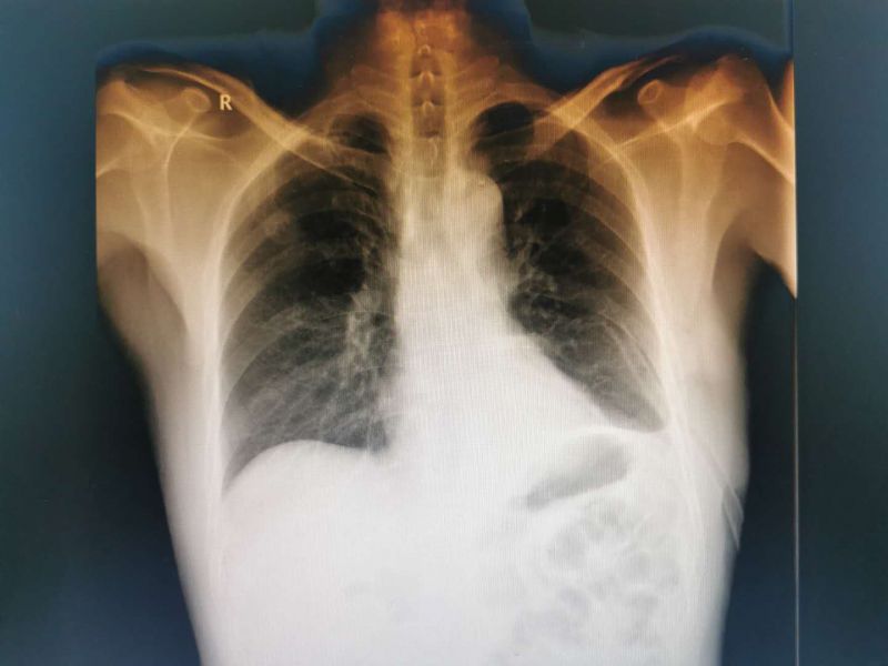
术后病理结果及复查胸片结果
据了解,肺癌是起源于肺部支气管黏膜或腺体的恶性肿瘤,是发病率和死亡率增长最快,对人群健康和生命威胁最大的恶性肿瘤之一。早诊断、早治疗是提高肺癌患者生存率的最好办法。中晚期肺癌患者远期生存率较低,而早期肺癌手术切除患者10年预期生存率达88%以上。近年来低剂量螺旋CT的普及,发现了诸多肺部小结节患者,而小部分肺部小结节有可能是早期肺腺癌(原位癌、微浸润及浸润性腺癌),早期肺腺癌的CT表现为磨玻璃、亚实性、混合性结节样病变,通过手术治疗其5年无病生存期更接近100%,基本可达临床治愈目的
相较传统手术,胸腔镜手术虽不能替代,但具有其不可比拟的优势,既能降低手术创伤,更能加快患者术后恢复,缩短住院时间。通常传统的开胸手术切口选择长约20-30cm,创伤巨大。胸腔镜手术切口选择为侧胸壁3-4个约2-3cm小切口,极大的降低了手术创伤,单操作孔则是一个观察孔外加一个2-3cm操作孔下完成手术,创伤更低,此技术需要心胸外科医师具备更精湛的腔镜手术技术以及熟练的胸内解剖知识,需手术团队的更密切的协作。
传统手术切口 双操作孔切口
单操孔切口
近年来,在上级院领导支持下,科主任黄勇带领下我院心胸外科团队已顺利的完成了胸外科手术从胸腔镜辅助到全腔镜,从多操作孔到单操作孔、单孔的转变,得到了极大发展,胸部微创手术技术走向成熟。已广泛开展了各类胸腔镜微创手术术式,如:肺癌根治术、肺小结节切除术、肺大泡切除术、肺段隔离症切除术、纵隔肿瘤切除术、胸腺瘤扩大切除术、胸膜活检术、手汗症手术等微创手术方式,给广大患者带来了福音。
患者术中情况
扫一扫 手机端浏览

微信服务号