迎鼠年精诚团结战病魔
发布时间:2020-02-05 14:17
本文来源: 未知
分享到:
介入血管外科协同呼吸与危重症医学一、二科,腊月二十九、大年三十、初二、初八、初九共做了五台急诊大咯血手术。在新型冠状病毒肆虐时期,对每一例急危重症呼吸道疾病按“防控”要求进行了甄别排查,迎难而上不分昼夜及时手术,成功的救治了病人。
术中田某咯血约200ml,病情危急。王钟慧护士长及时更换无菌罩,并进行物表、地表、空气消毒。
经一小时五十七分钟救治,栓塞两支犯罪血管,患者停止咯血,生命体征趋于平稳。术后向患者家属介绍术中情况及术后注意事项。
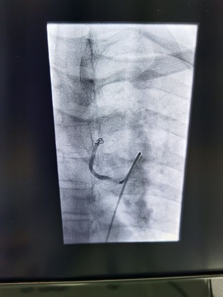
杨某反复咯血十余天,于元月23日住院,入院诊断:肺炎并咯血,结核?高血压病,二型糖尿病。大年三十下午三点三十分急诊手术,DSA示:右上支气管动脉发现多个出血灶。
栓塞后病灶出血停止
左下支气管动脉发现多个出血灶
栓塞后病灶出血停止
左上支气管动脉与出血病灶动脉交通
用栓塞微粒球+PVA+弹簧圈三明治方法栓塞满意,手术历时一小时四十分钟,共栓塞三支犯罪血管,元月31日康复出院。
我院CTA发现两只粗大支气管动脉。
扫一扫 手机端浏览

微信服务号