我院多学科协作完成一结肠癌肝转移手术
发布时间:2020-01-20 15:34
本文来源: 未知
分享到:
1月8日,在普六科、普四科、肿瘤三科、麻醉科、手术室多学科协作下,成功完成一例结肠癌肝转移患者的手术治疗。
来自吉首的瞿女士,因腹痛、呕吐并肛门停止排气排便入住胃肠外科,经检查诊断为不完全性肠梗阻,经对症治疗后症状缓解。进一步完善CT检查发现肝脏一巨块性肿瘤,结肠镜检查提示乙状结肠占位,考虑结肠癌并肝转移,申请肝胆外二科会诊后转入该科。肝胆外二科主任姚本能主任医师将患者的病情在科内提出讨论,肝胆外科大主任宋新、肝胆外二科周后平副主任医师等详细询问患者病史,认真查体并审阅影像学资料后,认为肝脏肿块巨大,来源结肠可能,并提请院内多学科会诊,进行了全面讨论。因其它部位未见明显肿瘤转移,参考结肠癌肝转移诊疗指南,会诊认为患者具备手术治疗指征,将病情及治疗方案详细告知家属后,取得了患方的充分理解和信任,决定由肝胆外科、肛肠外科联合为患者实施手术治疗,具体手术方式拟定右半肝切除,序贯结肠部分切除,淋巴结清扫,乙状结肠造瘘术。
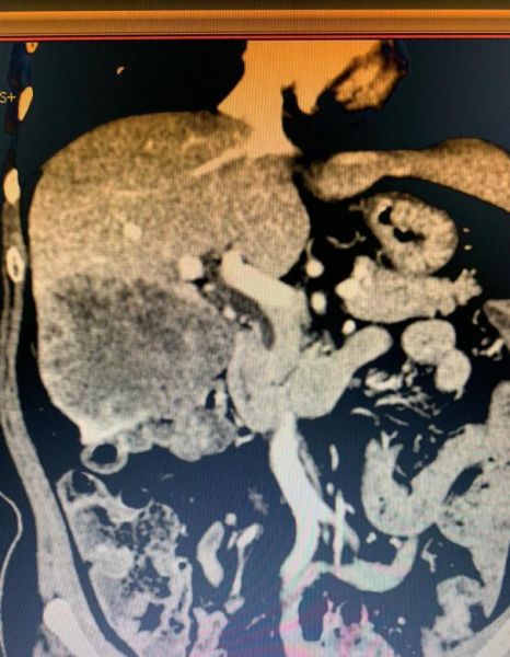
术前影像学资料
接下来面临的难题是手术如何实施,各科医师如何序贯交叉配合的问题,因肝脏病灶位于右上腹,而乙状结肠病灶位于左下腹,一个手术切口无法兼顾两个部位的操作。尤其是右上腹部肝脏的手术,因其位置深,手术操作复杂,传统的方式是需要选取一个长长的J型切口才能充分显露右半肝进行手术,而两个大手术切口将会给患者带来更大的创伤。医生们经过反复讨论,术前模拟,认为患者肝脏为转移性病灶,残余肝功能良好无肝硬化,根据以往积累的解剖性肝切除经验,可考虑行腹腔镜探查,首先完成腹腔镜下解剖性右半肝切除术,然后由肛肠外科医师完成结肠手术。
经过充分术前准备,手术于1月8日按计划进行,先由姚本能主任和周后平副主任医师组成双主刀的手术团队,为患者实施腹腔镜下右半肝切除术,在麻醉科张勇副主任医师全面监护和麻醉下,实施控制性低中心静脉压,采用Glisson蒂横断技术结扎右侧肝蒂,即阻断了肿瘤侧的血供,又减少了肿瘤的播散机会。与此同时,为精准把握断肝平面,采用目前国内最先进的荧光染色法,经外周注射吲哚氰绿,反染成功后,阻断全肝血流的情况下,遵守肿瘤的无接触原则,循肝静脉途径前入路进行切肝,阻断2次即顺利完成了右半肝的劈离。然后小心游离肝脏周围,将含有巨块性肿瘤的右半肝完整切除,经检查肝创面无出血及胆漏,无需放置T管引流。结束肝脏手术之后,接下来由肛肠外科凌晨副主任医师和欧阳黎主治医师上台,完成了结肠手术。整个手术顺利,出血不足100ml,患者生命体征平稳,安返病房。
术中荧光染色
术中肝脏劈离
出院时患者与医护人员合影
因手术创伤大,术后予以密切监护,根据患者各项指标及时贯彻加速康复治疗,积极预防血栓、肺部感染、泌尿系感染等并发症,经过肝胆二科医护人员的精心治疗及护理,患者恢复良好,未出现明显并发症,即将出院。
目前,多学科协作已经成为肿瘤治疗的趋势,结肠癌肝转移的患者接诊以后,给予多学科团队的最佳治疗方案,可以有效改善患者的生存率,提高其生活质量。该病例的成功得益于良好的多学科协作和团队精神,我院在医务科的主持协调下建立了肝癌的多学科协作诊疗模式,按照病情需要,及时启动多学科会诊,集中优势医疗资源,运用集体智慧,依据多学科最优诊疗信息,结合疾病特点,为病人拟定规范的、精准的、个体化的最佳治疗方案。
扫一扫 手机端浏览

微信服务号