肝胆一科开展腹腔镜下中间入路行肝尾状叶肿瘤切除手术
发布时间:2020-01-16 11:24
本文来源: 未知
分享到:
近日,湘西州人民医院肝胆一科成功实施一例腹腔镜中间入路行肝尾状叶肿瘤切除术。手术过程顺利,患者术后恢复可,已痊愈出院。
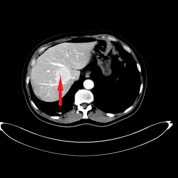
该患者为62岁老年男性,因“体检发现肝占位1天”入院,术前诊断为肝尾状叶局灶性结节样增生(FNH)。完善术前3D成像,评估肿瘤与毗邻血管的关系,经过详细的术前准备,于12月16日在全麻下行腹腔镜尾状叶肿瘤切除术。手术由王文儿副主任医师、陈晓明主治医师及田潭平医师完成。
红色箭头示肿瘤 黄绿红箭头分别示肝右肝中肝左静脉,白色箭头示肿瘤
手术采用中间入路方式,先确定左右肝分界线,沿肝正中分界线切肝,显露出并保护好肝中及肝右静脉,显露肝后下腔静脉,解剖第三肝门,结扎切断肝短静脉,并仔细将肿瘤与下腔静脉间的交通血管逐一夹闭切断,并自下向上,将肿瘤后方沿下腔静脉分离,游离肿瘤,切断门静脉发至肿瘤的滋养血管,将肿瘤完全游离后完整切除。手术过程顺利,手术时间约5小时,术中出血100ml。
尾状叶肿瘤切除后肝断面 医护人员与患者合影
对于肝脏的原发或继发肿瘤,根治性切除是获得长期预后的最佳选择。目前,腹腔镜肝切除术在国内外已得到广泛应用,腹腔镜肝切除手术已从最早的边缘部分肝切除逐渐发展到各个肝段的切除,左右半肝的切除甚至扩大半肝的切除。但在很长时间里,尾状叶肿瘤仍是腹腔镜肝切除的禁忌。肝尾状叶位于3个肝门结构之间,与之有丰富的管道相连,位置深,难显露,极易发生大出血,手术难度高,一度被视为手术的禁区。此术式要求术者及助手均应具备熟练的开腹肝尾状叶切除技术及丰富的腹腔镜操作技术,且有长期默契的配合。近年来随着对肝尾状叶解剖以及与周边血管关系的研究不断深入,肝血流控制技术的发展,尾状叶肿瘤的切除率才有了提高。但是尾状叶腔旁部肿瘤,目前文献报道显示国内外只有少数专家在尝试探索。
根据病变位置及性质,腹腔镜肝尾状叶切除术手术入路可分为左侧入路、右侧入路、左右侧联合入路和中间入路。相较传统开腹肝尾状叶肿瘤切除,腹腔镜肝尾状叶切除术具有优势,传统开腹肝尾状叶切除术由于视野只能从前向后看,而尾状叶位于肝脏的最后方,需要将左肝游离后才能看清尾状叶,有时甚至需切除左肝才能达到同样的目的,并且切口长达20~30cm,而腹腔镜肝尾状叶手术,由于腹腔镜的特殊特点,可从下向上看,直接直视肝尾状叶,从而避免了对肝脏过多的游离解剖,而且具有切口小,康复快等优点。
腹腔镜肝切除术的应用,减少了手术创伤,恢复快,缩短住院时间,临床上更容易被患者接受。腹腔镜肝尾状叶切除术是安全、可行的,可获得满意疗效。腹腔镜肝尾状叶肿瘤的成功切除标志着我院肝胆外科腹腔镜肝脏切除技术又上一新台阶。
扫一扫 手机端浏览

微信服务号