肝胆二科成功救治一高龄患者
发布时间:2019-12-30 11:16
本文来源: 未知
分享到:
肝胆二科成功救治一名复杂性肝胆管结石并感染性休克高龄患者
12月5日零点,肝胆外二科接收了一名85岁高龄患者。据家属介绍,患者突发上腹疼痛1天,在当地医院完善相关检查后提示:肝胆管结石,重症胆管炎。在当地住院期间患者出现寒战、高热,血压下降,意识模糊,病情越来越重,家属心急如焚,决定连夜赶往我院就诊。患者入院时意识模糊,血压74/48mmHg,心率120次/分,值班医生初步诊断:感染性休克,急性梗阻性化脓性胆管炎。考虑到病情危重,立即给予补液扩容等抢救治疗措施,请示上级医师指导诊治,并联合多科会诊,积极纠正休克,维持生命体征稳定,后续积极实施抗炎、护心等综合治疗……经过紧张的救治,患者生命体征渐趋于平稳。
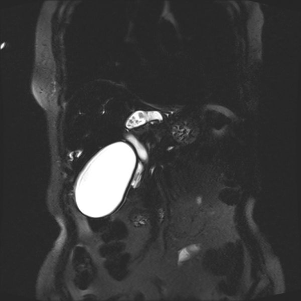
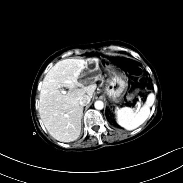
随着进一步检查的完善,患者诊断逐步明确:1.肝胆管结石(区域型), 2.胆囊结石伴胆囊炎, 3.胆总管结石伴梗阻性胆管炎。
术前影像学资料
肝胆外二科主任姚本能主任医师在仔细了解病情之后,分析指出:患者高龄,各脏器功能老化,可能难以耐受麻醉及手术,术后恢复也是需要面对的难题。但是,如果继续保守治疗,病情可能反复,随时可能再次出现感染性休克导致生命危险,需申请院内多学科讨论后决定下一步治疗方案。经过积极联系麻醉科、重症医学科、心血管及呼吸科共同讨论,肯定了手术的必要性,针对该患者病情,切除病肝,通畅引流是主要的治疗手段。如果选择传统开腹手术,手术创伤大,术后恢复缓慢,对于高龄患者的身体是极大挑战。近年来,基于微创手术的术后加速康复理念已逐渐成熟,腹腔镜下肝切除术已成为首选的手术方式,能减少术后的并发症。经过充分评估手术风险之后,决定多学科联合合作,为患者实施腹腔镜下左半肝切除+胆道探查手术,做好术中术后应急预案的同时,医生们向患者家属详细分析病情,沟通告知相关风险,患者家属同意医生们的治疗方案。
手术按计划进行,在麻醉科张勇副主任医师、杨芳主治医师的密切配合下,确保循环稳定的情况下,实施控制性低中心静脉压,由姚本能主任医师、周后平副主任医师组成双主刀的手术团队,成功完成了解剖性的病肝切除及胆道探查手术,整个手术过程顺利,历时仅2.5小时,出血不足50ml。患者生命体征平稳,顺利拔管后,安返病房。
术后康复是患者接下来要面临的新挑战,针对高龄患者的术后加速康复,肝胆二科的医护团队已经积累了一定的临床经验,由田园园护士长带领的护理团队密切配合医生们为患者实施加速康复治疗,术后第三天患者即恢复肠道功能并下床活动,复查无异常后拔除腹腔引流管,术后第十天,患者顺利康复出院。
患者出院时开心与医护人员合影
这样一位高龄的危重病例,病死率非常高,亲身经历了患者的诊治经过,医护人员心情同家属一样,经历了一个跌宕起伏的过程。
自分科一年多以来,肝胆外二科不断进取,勇于攀登,开展了一系列新技术新业务,如腹腔镜下胰十二指肠切除术、胰体尾癌根治术、巨脾切除+贲门周围血管离断术、复杂肝胆肿瘤切除术等,同时也积极参与多学科协作,为复杂危重症患者的治疗提供专科诊疗技术,为更多患者带来希望与福音。
扫一扫 手机端浏览

微信服务号