骨一科成功开展单髁置换术
发布时间:2019-12-26 11:47
本文来源: 未知
分享到:
骨一科赵峻主任团队已率先在湘西州成功开展多例膝关节单髁置换手术,成为湖南省为数不多几家可以开展该项手术的医院之一。
在膝关节疾病领域,尤其是骨关节炎阶梯治疗,州医院可常规开展关节镜微创手术、腓骨截骨术、胫骨高位截骨术、人工全膝关节置换术。单髁置换手术的成功实施,标志骨一科在膝关节骨性关节炎阶梯治疗中又增添了一项利器,对于广大膝关节疾病患者无论处于骨关节炎哪个阶段,均能在骨一科到规范、有效、安全的治疗。
骨关节炎阶梯治疗示意
彭某,53岁,因左膝骨关节炎入院,入院前该患者长期饱受左膝病痛折磨,症状反复,辗转各地到处求医问药,病情却一直不见好转。保守治疗无效,外院的医生认为她只有进行人工全膝关节置换手术才能彻底根治,但患者害怕手术疼痛,且认为自身还年轻,更加担心关节松动、假体下沉等风险。为得到专业权威的诊疗方案,彭某慕名找到州医院骨一科赵峻主任医师。赵峻主任针对她的病情进行了分析讨论后,为彭某制定了单髁置换保膝手术方案,这样不仅能通过微创手术为她彻底解决内侧关节间隙退变磨损的痛苦,还能为她保留膝关节的解剖结构、本体感觉及骨量,具有微创、恢复快、出血少、花费少等优点。完善相关术前准备后,赵峻主任医师带领团队仅耗时不到60分钟便成功为彭某完成了单髁置换手术。术后第二天早晨,彭某就可下地行走、活动良好,术前疼痛感消失,仅有伤口轻微疼痛。彭某感慨:“来州医院之前以为必须通过全膝关节置换大手术来解决膝关节顽疾,没想到微创小手术能解决大烦恼,现在手术后行走自如,术前疼痛感完全缓解”。
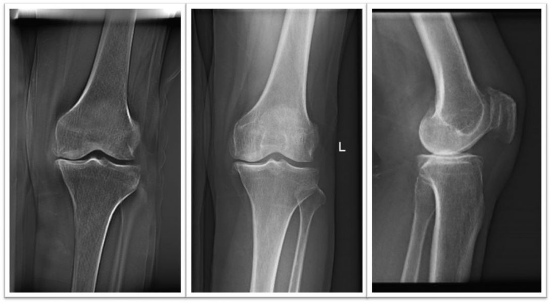
术前膝关节正侧位片
赵峻主任医师带领团队正在为患者实施手术
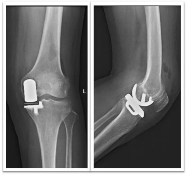
术后膝关节正侧位片
患者术后第一天下地行走
赵峻主任医师介绍单髁置换术主要应用于膝关节单间室骨关节炎或骨梗死患者,手术就像补牙一样把损坏的关节表面用金属修补好,而不需要切除未损坏的韧带和对侧关节软骨、半月板,从而最大限度地保留了关节正常组织,更好地保留了本体感觉并更好地更快地恢复关节功能,属于微创手术。据牛津单髁假体的大样本随访研究报道,10年假体生存率98%,15年假体生存率80%以上,是广大膝关节相关疾病患者的福音。
扫一扫 手机端浏览

微信服务号