肝胆一科凌晨紧急救治97岁高龄患者
发布时间:2019-12-03 14:30
本文来源: 未知
分享到:
11月2日,肝胆一科团队在凌晨为一位90多岁高龄急腹症患者紧急实施手术,挽救了老人的生命。
随着社会老龄化步伐加快,高龄患者数量逐步呈上升趋势,而三级诊疗制度的实施,我院接诊的高龄、危急、复杂的患者也日益增多,这就意味着我院的医务人员应不断突破高龄禁区,具备解决“高龄、危急、复杂”患者的能力,这样才能更好地为四省市边区人民的健康保驾护航。
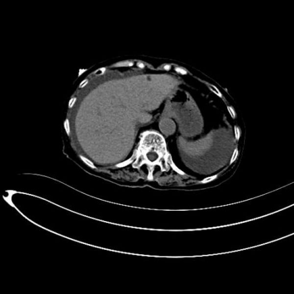
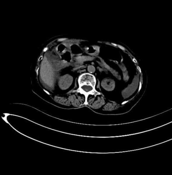
时间回到11月2日夜深人静的凌晨,肝胆一科于3:26分接诊了一位90多岁的蹒跚老人。患者为97岁女性,因“腹部疼痛1天”入院,完善急诊彩超及肝胆脾CT诊断为“急性胆囊炎并穿孔”,老人既往有冠心病、房颤病史。患者入院时腹痛难忍、全腹压痛及反跳痛明显,急诊完善术前相关检查后,患者有明显急诊手术指征。充分告知患者家属病情和治疗方案后,家属犹豫了,认为患者近百岁高龄,对能否耐受手术表示担心,一时间犹豫不断。肝胆一科手术团队积极为患者家属分析病情情况,并指出“目前患者已经胆囊穿孔,胆汁性腹膜炎十分明显,这种情况唯有手术才有一线希望,如果选择保守治疗,患者希望十分渺茫”,同时也表示“州人民医院有优秀麻醉团队及术后重症监护团队,在大家携手合作下是可以创造生命奇迹的”。通过肝胆一科团队积极耐心的分析病情后,家属最后选择了手术。经过快速术前准备后患者在全麻插管下行急诊胆囊切除+腹腔灌洗术,术后转入重症监护室,几天后转入普通病房治疗,术后恢复顺利,于12月3日康复出院。
患者术前影像
该患者为什么不选择腔镜手术呢?因为患者胆囊穿孔致胆汁性腹膜炎,根据影响检查判断,患者腹腔明显大量胆汁性积液,通过腹腔镜是很难进行腹腔清洗的,患者术后快速康复的一个关键因素就是腹腔灌洗要充分,最大化减少术后腹腔胆汁残留。另外一个方面,患者急诊入院,呼吸情况不好,为减少气腹影响而快速完成手术,开腹也是最佳选择。作为一位成熟的外科医师,不能为了微创而微创,一定要综合分析,选择最有利于患者术后康复的治疗方案。
术中情况
老年急性胆囊穿孔是较严重的外科急腹症,老年人全身器官功能衰退,对各种刺激反应迟钝,一旦胆囊穿孔,症状体征多不典型,急易误诊,更易危及生命。同时,老年患者全身性疾病相对较多,这就给救治造成的很大困难,全身性的问题可能会危及患者生命,这就需要麻醉团队、重症监护室团队、心血管团队等多学科团队的密切合作,共同去创造一个生命奇迹。正如习主席所说:“大鹏之动,非一羽之轻也;骐骥之速,非一足之力也”,任何事业之伟大成功,是需要以谦和包容之心态,综合各方面因素,合整体之力才能完成。
近年来,肝胆一科医疗团队在微创诊疗技术方面突飞猛进,紧跟国内肝胆胰微创技术发展步伐,截止目前,已开展全部腹腔镜下肝、胆、胰疾病手术,如:全腹腔镜下胰十二指肠切除,全腹腔镜下左、右半肝、肝段切除,全腹腔镜保留脾脏胰体尾肿瘤切除、胰体尾肿瘤+脾切除,全腹腔镜巨脾切除+喷门周围血管离断术等,取得满意效果,获得了群众的认可。
老人出院时开心的和医护人员合影
扫一扫 手机端浏览

微信服务号