肝胆一科一周内连摘两颗肝胆珠峰“明珠”
发布时间:2019-10-25 10:13
本文来源: 未知
分享到:
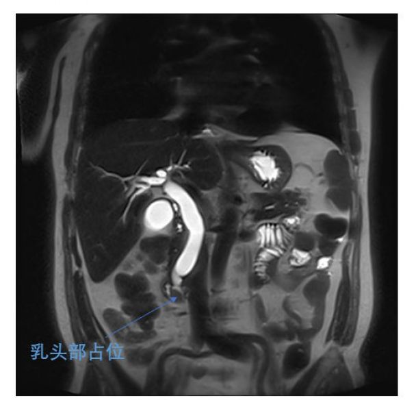
近日,肝胆一科王文儿副主任腹腔镜团队一周内连续完成两例腹腔镜下胰十二指肠切除术(LPD)。这两位手术患者均为70多岁老年男性,1人因发现皮肤巩膜黄染1月就诊发现十二指肠乳头占位,1人因纳差、乏力2月就诊发现乳头占位就诊。肝胆一科团队认真研究及评估两位患者的病情后,决定为他们实施LPD,目前两位患者术后恢复顺利。作为复杂程度很高的普外科四级手术,腹腔镜胰十二指肠切除手术在肝胆一科已作为常规手术开展。
自2018年7月,肝胆一科手术团队成功实施第一例腹腔镜下胰十二指肠切除术(LPD),填补了我院腔镜外科在这方面的空白。截止目前已成功实施近10例腹腔镜胰十二指肠切除手术,表明肝胆一科腹腔镜技术更加纯熟,业内影响力日益扩大。
胰十二指肠切除术(whipple)为普外科专业难度最大的手术,因其解剖复杂,术中操作困难,需要作“胰肠吻合、胆肠吻合、胃空肠吻合”,术后并发症多,尤其是“胰肠吻合”容易出现致命的并发症,被外科医生称之“天下第一吻”和“死亡之吻”;而腹腔镜下胰十二指肠切除手术(LPD),起点高,操作复杂,技术难度大,开展这一手术既要有丰富的开腹胰十二指肠切除经验,同时又必须具备高超的腹腔镜下操作技术。虽然难度大,但优势明显:第一,手术创伤小,痛苦小,术后恢复快,缩短住院时间;第二,生活质量高,传统手术切口较大,长约30厘米,腹腔镜只需几个戳孔即可;第三,患者一般24小时后即可下床活动。两台手术完全达到了whipple的标准。
近年来。肝胆一科王文儿副主任带领的医疗团队自开展腹腔镜肝胆胰脾手术以来,截止目前,肝胆胰外科腹腔镜手术团队已开展全部腹腔镜下肝、胆、胰、脾所有疾病的手术,如:全腹腔镜下胰十二指肠切除,左、右半肝、肝段切除,保留脾脏胰体尾肿瘤切除,胰体尾肿瘤+脾脏切除,脾脏切除+喷门周围血管离断术等,取得了可喜的成绩,多次在省市级会议上学术交流。
两位患者术前MRI
术前病例讨论,制定手术方案
腹腔镜手术中
两位患者康复出院与主治医师、主管护士合影
扫一扫 手机端浏览

微信服务号