肝胆外二科救治一复杂肝癌患者
发布时间:2019-10-18 16:41
本文来源: 未知
分享到:
医者仁者 仁心仁术
肝胆外二科救治一复杂肝癌患者
31岁男性患者刘某某,因右上腹胀痛1周入住肝胆外二科。其既往有乙肝病史多年,未予重视,此次右上腹胀痛发作,在当地医院行B超示:右肝占位性病变、肝癌不排,建议转上级医院进一步治疗。面对肝癌不排的诊断,患者家属在病魔面前彷徨而无助,经朋友介绍,了解到肝胆外二科能熟练完成各类切肝手术,就像黑暗中的一盏明灯,给患者一家带来希望。
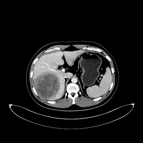
患者入院后肝胆外二科积极诊治,肝胆脾增强CT示:肝右叶占位,性质待定:考虑原发性肝CA(巨块型)并子灶形成,其他待排,AFP〉1210.0ng/ml,乙肝病毒PCR,9.78E+0.4IU/ml。结合病史及相关检查结果,术前诊断:1.右肝占位:原发性肝癌可能性大?2.乙肝。术前请感染科会诊加用恩替卡韦分散片抗病毒治疗。告知患者及家属原发性肝癌可能性大的事实,作为家庭主要劳动力的患者,在病魔面前没有妥协,毅然决定积极配合治疗。面对患者的信任,肝胆外二科治疗团队不敢丝毫懈怠,科主任姚本能主任医师与副主任杨定华副主任医师仔细阅片,经讨论后为患者完善肝脏3D成像,通过3D显像技术,精确了解瘤体位置和瘤体与动、静脉关系。术前精准评估,明确肝肿瘤主要位于肝S7、少部分位于肝S5、S8。因瘤体巨大,位置深,合并乙肝肝硬化,术中显露困难,手术难度极大。又组织全科室医师术前讨论,为了减少术中对肿瘤的挤压,拟定了行胸腹联合切口实施手术的方式,实现肝癌根治性切除,使患者最大程度获益。
在肝胆外科宋新主任的指导下,姚本能、杨定华娴熟配合,完成手术。术中难点①:乙肝肝硬化重,结合术前3D影像学检查,证实左半肝体积小,考虑难以耐受右半肝切除,拟行肝肿瘤切除术。为了患者术后肝功能恢复,术中精细操作对肝S6段进行保留,最大限度保留正常肝脏。术中难点②:传统切肝的Pringel阻断患者难以耐受,术后肝功能衰竭的风险高。遂采用鞘外解剖出右肝蒂及右前叶肝蒂,半肝阻断下切肝,减少术中缺血再灌注损伤对肝功能的损害。
在肝胆外二科ERAS快速康复规范化管理下,患者术后无胆漏,肝功能恢复正常,闭式胸腔引流管、腹腔引流管顺利拔除,伤口愈合佳。面对患者的快速康复,家属喜笑颜开,对肝胆外二科团队用心诊疗给予充分肯定。
肝癌的诊疗目前已进入多学科、多模式综合治疗的时代,以外科手术为主的综合治疗是基本原则。为了减少术后复发及转移,巩固手术疗效,术后患者基本恢复后,肝胆外二科邀请了介入血管科和肿瘤内科专家对其进行了会诊,明确了术后继续进行TACE及分子靶向治疗提高整体疗效的下一步治疗方案。目前患者已转入介入血管科进行下一阶段治疗。
“医者仁者,仁心仁术”, 肝胆外二科团队始终坚持以最精湛的医技,以最规范化的诊治完成病人救治,践行医者救死扶伤的使命。
术前CT图片
术前3D成像图片
术前3D成像图片
术后病检
术后患者和家属与部分医护人员合影
扫一扫 手机端浏览

微信服务号