肝胆一科医生妙手切除“巨型”肝肿瘤
发布时间:2019-09-27 16:08
本文来源: 未知
分享到:
肝癌破裂出血近2000ml 医生妙手切除“巨型”肝肿瘤
直径达13cm右肝巨大肿瘤,占据整个右半肝,紧邻人体重大血管,不巧的是出现了自发性破裂出血,幸运的是患者得到了州人民医院肝胆一科手术团队成功的手术治疗。
71岁的向老伯因突发上腹痛腹胀10+小时,腹痛腹胀逐渐加剧转入州人民医院肝胆一科,在当地医院就诊时发现右肝巨大占位,并伴有腹腔大量积血。
入院后,肝胆一科王文儿主任手术团队立刻进行诊治,通过认真仔细询问病史,影像检查腹部增CT,手术切除是唯一可以选择的治疗方案。由于肿块体积非常巨大,手术切除难度非常大,技术要求高。肝胆一科手术手术团队进行了认真讨论,为患者制定了周密的手术计划,围手术期的评估和处理等方案,于9月5日在全麻下行胸腹联合切口寻肝中静脉解剖性右半肝切除术。进入腹腔后腹腔大量积血,量约2000ml,术中紧贴着肝中静脉、小心翼翼分离将右半肝肝脏组织予超声刀、电刀完整切除。在手术操作过程中,如果稍有不稳,就会导致肝中静脉和第二肝门下腔静脉破裂,造成术中大出血甚至生命危险,经过2个半小时的紧张手术,将肝脏内肿瘤完整切除。
术后经过医护人员的精心治疗,向老伯身体恢复很快,目前面色红润,已经恢复出院。
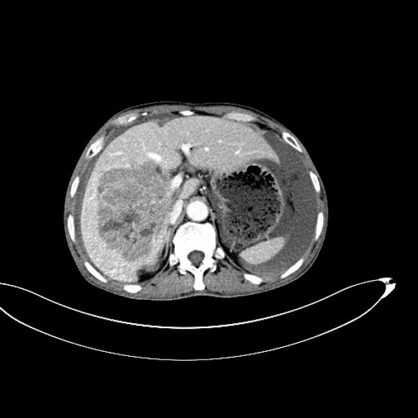
术前CT,右肝巨大肿瘤,占据右肝大部分,伴有腹腔,肝周大量积血
团队精诚合作,完成手术
术后标本,巨大肿瘤
术后复查CT
患者康复出院,与主管医师合影
肝胆一科王文儿主任强调,肝癌的早期症状并不是很明显,但如果发现下列症状,应及时到医院检查:胃肠道消化道症状;肝脏部位疼痛、特别是右上腹不适;上腹部右腹部可能会出现包块现象;可能会出现出血现象,一般多为鼻出血或皮下毛细血管破裂出血;全身性症状,出现消瘦、乏力、下午低热、夜晚盗汗等症状。另外慢性病毒性肝炎病人(乙肝、丙肝)建议定期(每3个月~6个月)行肝脏彩超、AFP检查。
扫一扫 手机端浏览

微信服务号