用爱为生命接力 以术为生命护航
发布时间:2019-09-26 11:43
本文来源: 未知
分享到:
用爱为生命接力 以术为生命护航
——记一位合并病理性肝破裂出血产妇的肝脓肿治疗之路
“太感谢您们了,是你们用医者仁爱之心为我的生命接力;是你们以精湛的医术为我的生命护航,给了我第二次生命!”患者出院时如此的感动说道。她是泸溪县人,一位建档立卡户患者,更是一位怀孕32周的孕妇,与死神擦边而过的她更加珍惜生命的可贵,同时,也更加深刻的感受到了什么叫做医者仁心。
时间回到3月29日凌晨4:35,产一科来了一位特殊的孕妇。患者因“停经32周,上腹痛1+小时入院”,当时常规行急诊血常规、肝功能、生化、凝血等抽血检查,并完善床旁彩超明确腹部情况。急诊检查结果回报:“血常规:PLT 40×109/L,急诊肝功能:ALT386U/L,AST687U/L,床旁彩超:腹腔多间隙积液、肝周大量积液。”值班医师看到急诊检查相关结果后立即引起了警觉,肝破裂出血?还是其他什么原因?值班医师立即启动紧急预案,邀请肝胆一科急会诊,会诊医生田潭平看到急诊检查结果后考虑患者肝出血可能性大,患者无外伤病史,突发上腹疼痛,肝自发性破裂出血?意识到问题的严重性,田潭平立即将患者情况报告肝胆一科王文儿主任,当时天还未亮,王文儿接到电话后立即赶往产一科询问患者病史情况及查看相关检查结果。同时,产一科主任程秋蓉也立即到位,迅速掌握患者病情后,立即组织肝胆一科、血液科、心血管内二科、手术室、麻醉科、新生儿科及医务科会诊。通过大家共同探讨后,最终确诊产妇诊患有一种罕见的疾病:HELLP综合征。
图一:入院急诊检查结果
那么何为HELLP综合征呢?其是以溶血、肝酶升高和血小板减少为特点,是妊娠期高血压疾病的严重并发症,多数发生在产前,产妇会出现乏力、右上腹疼痛及恶心呕吐、体重骤增等症状。发病率约占所有妊娠的0.12%-0.16%,十分少见,进展迅速,死亡率极高。
经过迅速有效的组织与诊断,立即制定抢救治疗方案,首先由产科行剖宫产,然后由肝胆一科行肝出血止血手术。程秋蓉及其团队快速安全的完成剖宫产术后交由肝胆一病区手术团队开展肝出血抢救治疗。在宋新主任全程指导下,王文儿主任迅速暴露肝隔面,可见右隔下、肝下间隙大量鲜血及血凝块,右肝S5/S6隔面见肝包膜大范围撕裂、广泛隔面包膜下血肿,活动性出血,在肝十二指肠韧带行Pringle法临床阻断,活动行出血停止,继续在第一肝门处解剖出肝右动脉,用“哈巴狗”临时试阻断肝右动脉,肝破裂出血创面明显减少,清除部分肝包膜下血肿,证实患者为重度脂肪肝。结合术前患者有高血压病史、合并存在血小板减少,为了挽救患者生命,王文儿主任与宋新主任商议后决定行肝右动脉结扎术+肝创面临时棉垫填塞压迫止血术,手术过程顺利,出血得到控制。术后因病情需要转ICU继续治疗。
患者转入ICU治疗3天病情稳定后转湘雅医院继续治疗,并再次行肝创面压迫止血棉垫取出术,经积极治疗,患者恢复良好。治疗过程中两次行彩超引导下肝脓肿穿刺引流术,术后病情平稳,恢复出院。患者出院后,因肝脓肿反复住院数次进行脓肿冲洗引流,给患者生理和心理带来了很大影响。8月10患者以“肝脓肿穿刺引流术后3月余”来肝胆一科住院复查治疗,完善肝胆脾CT检查后发现,患者右肝脓肿仍然明显。王文儿主任组织肝胆一科医师进行科内讨论研究指出,通过仔细研究CT片及结合分析患者抢救治疗经过后认为要根治性解决患者目前病灶,必须行右半肝切除。经过与患者家属沟通,仔细说明患者目前病灶情况及治疗方案的利弊之后,家属充分了解并同意手术方案。经过充分术前准备后,于8月14日在全面插管下行右半肝切除+右隔下脓肿清除引流术,术后经积极治疗,患者顺利康复出院。
出院时患者感慨万分地对田潭平医生说:“我都以为自己没得救了,想放弃了,但是医生没有放弃我,家人没有放弃我,让我到鬼门关走了一趟,又被你们无私奉献之手拉了回来,真的谢谢您们”。
回顾患者长达数月的救治经历,就是用爱为患者接力所搭建起的生命长城;回顾患者与死神较量的过程,就是以我们精湛医术为生命护航的神圣使命;回顾患者顺利康复出院的过程,就是医疗团队携手合作、共克难关的团队精神。“大鹏之动,非一羽之轻也;骐骥之速,非一足之力也”,我相信,通过我们全体医务人员的共同努力,以“仁爱之心、精湛之术、团结之力”为指导思想,全心全意为人民的身体健康保驾护航。
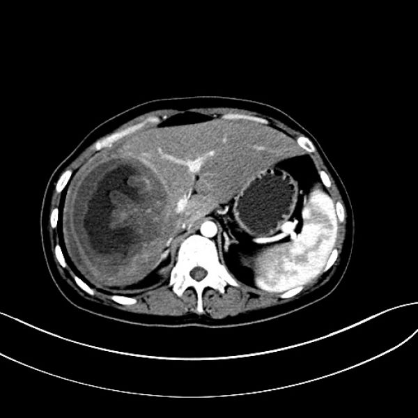
术前CT图像
术中情况
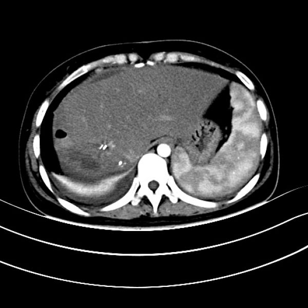
术后复查CT图像
出院时患者与部分医护人员开心留念
扫一扫 手机端浏览

微信服务号