心胸外科VATS下切除纵隔肿瘤
发布时间:2019-05-07 15:15
本文来源: 未知
分享到:
4月21日,心胸外科在黄勇科主任的带领下,成功独立开展经剑突下小切口电视胸腔镜(VATS)下纵膈肿瘤切除术。
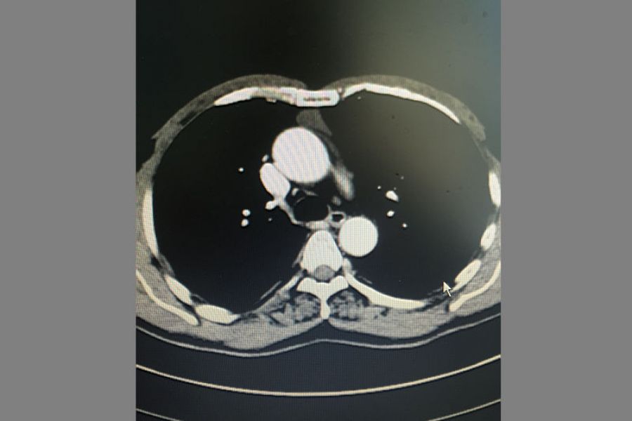
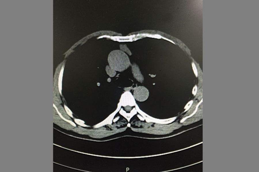
患者王某某40岁,因右胸阵发性疼痛1年入住我院疼痛科,检查发现前上纵膈肿瘤。经心胸外科钟强主治医师会诊后转入心胸外科。转入后予积极完善相关检查,排除相关禁忌症,考虑患者年轻,对创伤小、美观等要求,经研究决定予行胸腔手术。手术入路选择经剑突下切口,黄勇科主任及向加树副主任临场指导,术中杨智杰副主任医师、张建军主治医师及左选健住院医师密切配合,仔细解剖,历经2小时手术完整切除肿瘤。术后患者无明显并发症,主诉疼痛感轻,恢复良好。
纵膈肿瘤影像学表现
纵膈肿瘤术中情况
传统开胸手术切口与胸腔镜下手术切口对比
手术标本
VATS技术兴起于20世纪初,之后缓慢发展,于20世纪90年代在世界范围内开始迅速发展并得到广泛应用,我国起步稍迟,但在各方不屑努力下得到急速稳定发展,先后开展并进行了普胸及心脏外科的各类手术,并走向成熟。相对于常规开胸手术,胸腔镜手术具有创伤小,恢复快,并发症少,住院时间短,美好的外观等优点。
心胸外科开展经VATS手术相对较晚,但在医院各级领导的大力支持及黄勇科主任的积极带领下,心胸外科立足自身,积极购置相关设备及器械,早年已在上级医院的指导配合下开展了经VATS下肺叶切除术、肺癌根治术、经侧胸壁纵膈肿瘤切除术等相关手术,填补了我院心胸外科微创手术空白。
近年来心胸外科积极发展经VATS手术,开展了VATS的专题讲座及培训,积极输送相关人员进修学习胸腔镜技术,先后已能常规开展经VATS下肺大泡切除术、肺及胸膜活检术、胸膜肿瘤切除术、血胸及脓胸清除术、肺部肿块楔形切除术、肺叶切除术、肺癌根治术、各类纵膈肿瘤切除术、手汗症(双手多汗)双侧交感神经烙断术等相关手术,有力的缩小了心胸外科与省级大医院胸部微创手术水平的差距。
经剑突下小切口VATS手术相对于侧胸切口VATS纵隔肿瘤手术具有暴露好的优点,但同时具有空间更小,难度更大,手术器械的相互干扰更大的特点,对手术者及助手的相关配合要求更高,经剑突下小切口VATS手术的顺利完成标志着心胸外科微创手术技术已步入成熟稳定发展期。
一直以来,心胸外科在黄勇科主任的的带领下,本着人才重心发展战略,业务长足发展,长期以来心胸外科心脏血管外科业务已常规开展:先天性心脏病,如房、室间隔缺损修补术、法乐氏四联症根治术、动脉导管未闭结扎术、Epstein畸行(三尖瓣下移畸行)纠正术等;后天性心脏病,如二尖瓣、主动脉瓣置换术、三尖瓣置换术、瓣膜成型术、冠脉搭桥术、大血管置换、心包剥离术、心外膜启搏器安置术等。普胸外科业务已常规开展:纵隔肿瘤切除术、肺癌根治术、支气管袖式切除术、食管良恶性肿瘤根治术(胸部、颈部吻合,结肠代食道)、胸壁良恶性肿瘤根治术、胸壁畸形纠正术、脓胸胸膜剥离术、胸廓成型术等。在重症肌无力合并胸腺瘤的外科治疗方面,也获得了满意的疗效。对于创伤性休克、成人呼吸窘迫综合征、心脏外伤、多发性肋骨骨折、血气胸、膈疝及各类气胸、胸膜炎、支气管胸膜瘘等均积累了丰富的临床经验,有较高的救治水平。
扫一扫 手机端浏览

微信服务号