消化内科开展肠道金属支架置入术
发布时间:2019-04-28 09:58
本文来源: 未知
分享到:
消化内科开展肠道金属支架置入术治疗结肠恶性梗阻
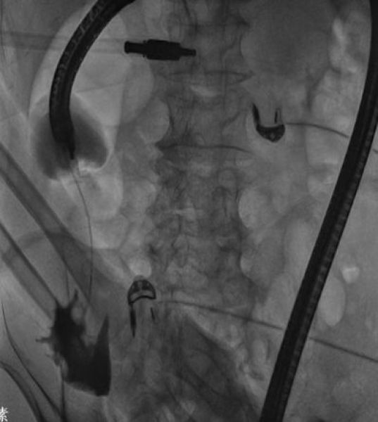
63岁男性田某,因肛门停止排气排便10余天拟肠梗阻收住消化二科。腹部CT提示肠梗阻、直肠乙状结肠占位,肠镜发现结肠距肛门19cm处有一新生物,管腔狭窄,活检提示低分化腺癌。根据病情,患者需行外科手术(一期造瘘,二期回纳),造瘘后需在腹壁挂着一个粪袋,既不便于生活,也不雅观,增加了病人的痛苦及经济负担。且该患者半年前因冠心病行了冠脉支架置入术,一直服用拜阿司匹林及氯吡格雷抗血小板药物,短期内不宜外科手术。经消化内科与普外科讨论后于4月23日在介入室成功置入肠道支架,肠道支架置入后即刻见粪便涌出,排气排便恢复。术后转外科行一期手术切除肿瘤。
肠镜下见结肠肿瘤 造影见肠腔狭窄,口侧肠管扩张
置入肠道支架
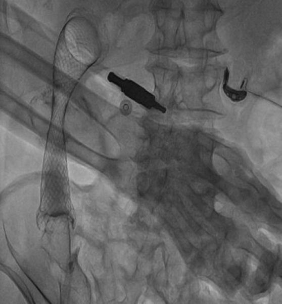
85岁张大爷,因腹痛、呕吐、肛门停止排便10余天拟肠梗阻收住消化一科,腹部CT提示升结肠癌并梗阻,肠镜见升结肠肿物,活检为中分化腺癌。患者高龄,一般情况差,不能耐受外科手术,大活人真要让屎憋死吗?消化内科、普外科讨论后于4月25日在介入室成功置入肠道支架,支架置入后,患者排气排便恢复,呕吐症状缓解,已进食半流质。
肠镜见升结肠肿瘤 造影见升结肠狭窄
成功置入肠道支架
中晚期结直肠癌患者会出现肠梗阻,往往是需要进行急诊外科手术治疗的,由于术前无法进行充分的肠道准备,需行肠造瘘(人工肛)手术,住院时间长、费用高、死亡率也高。同时,患者的生活质量也受到明显影响。随着肠道支架在我院的开展,对于不能耐受外科手术,或者肠道准备差、影响I期吻合的结直肠癌患者,该方法可明显提高患者的生活质量、缓解痛苦。
肠道支架置入的适应症:(1)对于可以根治性切除的结直肠癌,在出现肠梗阻时,可作为术前准备替代结肠造瘘术;(2)对于无法切除的晚期结肠癌,作为姑息治疗的手段;(3)用于转移癌或外压性病变所致的肠梗阻。
消化内科始终坚持“质量、安全、人文”的核心价值观,持续为老百姓提供最优的技术和服务。
扫一扫 手机端浏览

微信服务号