神经外科精准治疗一颅内血管瘤
发布时间:2019-04-08 16:41
本文来源: 未知
分享到:
神经外科通过混合现实技术完成一例颅内海绵状血管瘤合并多发占位的精准治疗
近日,神经外科凭着3D重建及混合现实技术,与多学科密切合作,完成了一例颅内海绵状血管瘤合并多发占位的精准手术治疗。
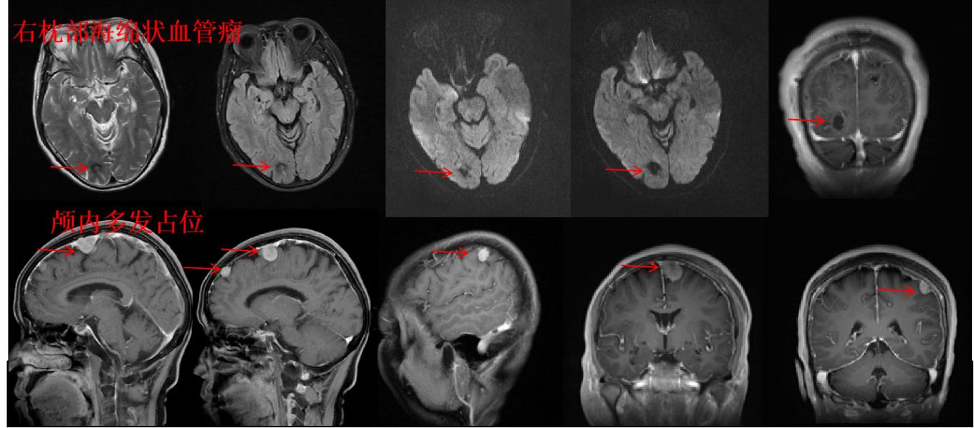
患者向某某,65岁,半年来反复头痛头晕并伴有视力下降,在当地医院以颈椎病诊治,效果不佳。近日,他慕名来到州人民医院就诊,神经外科二病区副主任田志接诊了该患者。通过颅脑磁共振平扫+增强检查,发现该患者是一例罕见的颅内海绵状血管瘤出血合并多发占位的病例。神经外科二病区主任朱英杰立即组织阅片讨论,认为患者主诉有视力下降改变,磁共振提示右侧枕叶呈典型“爆米花”样影像学表现,符合海绵状血管瘤反复出血的征象。另外,患者左侧大脑半球存在三处占位性病灶,增强提示考虑为脑膜瘤可能性大。
颅内海绵状血管瘤合并占位的,全球统计人年发病率不足0.01%,发病率极低。在黄纯海副院长的带领下,神经外科二病区高度关注该病例,通过认真分析病情,认为患者海绵状血管瘤已反复出血,且造成了神经功能受损,仍有再次出血可能,病情势必会进一步加重,手术治疗才是唯一的治疗手段。另外,患者颅内还有三处占位性病灶,均位于重要功能区,黄纯海认为,虽然该患者的病情复杂,但仍可以通过精确的定位实现手术切除达到治疗效果。
神经外科二病区利用最新的三维成像技术,结合术前的混合现实技术,为患者进行精确的病灶定位,并依此个性化设计手术方案,在麻醉科的协助下,朱英杰主任对患者进行了海绵状血管瘤显微切除合并占位显微切除手术。因术前定位准确,手术创伤小,大大降低了病灶再出血的风险,术后通过医护人员的精心治疗和护理,现患者恢复良好,视力明显好转,没有出现任何并发症。
黄纯海副院长介绍:混合现实(Mixed Reality,MR)技术,是利用传统CT、MRI等的原始数据三维重建、整合立体全息场景,高精度地还原患者真实解剖及病变部位,为临床医生提供精确的治疗参考依据,并通过跟踪定位功能将生成的影像与病人身体相应部位准确重合,从而使医生能够在手术过程中“看到”病人体内的结构,将外科医生变成“透视眼”,透过皮肤、肌肉、骨骼直接观察病变。另外,在进行术前谈话时,患者及家属将更加直观地看明白,达到良好的医患沟通效果。三维成像结合混合现实技术将掀起现代甚至未来神经外科的又一场“工业革命”。
通过混合现实技术能顺利完成此例海绵状血管瘤合并多发占位的显微切除手术,标志着州人民医院神经外科诊治水平再上新台阶。目前,在黄纯海副院长的带领下,神经外科一病区开展神经系统肿瘤、脊髓脊柱、功能性疾病以及重症脑外伤的规范化救治,神经外科二病区开展颅内各种血管病的血管介入和开颅手术治疗,包括颅内动脉瘤、脑血管畸形、自发性脑出血、烟雾病血管搭桥、颈动脉内膜剥脱等,使我州神经系统疾病患者大病不出州,助力全州精准脱贫攻坚,真正做到了让群众满意。
扫一扫 手机端浏览

微信服务号