术中超声实时定位精准微创切除肝脏肿瘤
发布时间:2019-03-04 17:13
本文来源: 未知
分享到:
术中超声实时定位精准微创切除肝脏肿瘤
——记肝胆一科一例腹腔镜肝多发肿块切除手术
近日,肝胆一科采用术中超声实时精准定位,在腹腔镜下微创切除肝脏深部肿块,手术时间短,精准微创,取得良好效果。
患者因右上腹胀痛2月余入院。入院后完善肝胆脾增强CT:肝右叶后段占位,考虑局灶性结节增生?不典型血管瘤?原发性肝Ca不排。MRI检查结果示:1.S7段团片状异常信号,倾向肿瘤性病变:混合型肝Ca?胆管细胞Ca?其它不排,请结合临床及进一步检查。2.S4、S8段斑片状异常信号,考虑:与(S7段病灶)同源性病变?其它?
术前诊断:1.肝多发占位:性质待查。如何明确诊断及治疗,是摆在医生面前一道难题。小肿块,穿刺取标本困难,如果手术切除,创伤范围肯定比较大,如果小肿块是恶性,考虑转移来源,手术效果肯定差。科室经过讨论后,把目光放在术中超声这一影像技术上来。排除手术禁忌症后,王文儿主任带领手术团队于2月26日对该患者行腹腔镜探查。术中采用超声精准定位,腔镜下切除肝IV及VIII段的小肿块,快速病检证实为结节性增生,遂再行腹腔镜右肝VII段切除术。手术顺利。术中出血约50ml。术后患者恢复可。
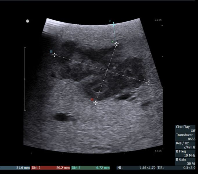
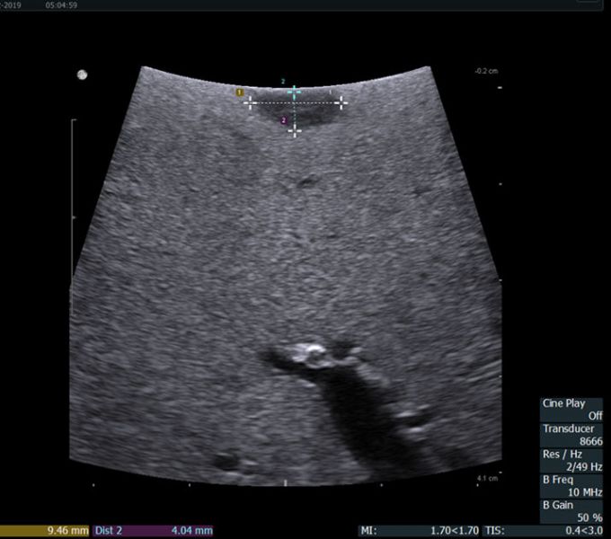
术中超声示肝IV段肿块大小及距肝表面距离
术中超声示肝VIII段肿块大小及距肝表面距离
术中超声示肝VII段肿块大小及距肝表面距离
术后肝创面
肝脏外科手术中,由于很多肿块位于肝脏表面下或者深部不能被发现,甚至微小肿块影像学检查可能遗漏。虽然术前CT或MRI可能发现,但术中没有精准定位,只能按规则性肝段切除,对正常肝组织创伤大。精准肝切除追求的是彻底清除目标病灶,最大限度保留剩余肝脏的功能,最大限度降低手术创伤反应。这就要求手术医师对肿瘤的数目、位置、大小、边界、形态等因素进行综合考虑和利用。术中超声是目前唯一能在手术中直接对靶脏器进行检查和治疗的手段,具有定位准确、方便灵活、安全无创、费用低廉、可反复检查等优势,可为术者提供准确的实时图像,减少漏诊率。彩色多普勒超声还可提供肿瘤的血供情况及与周围血管的关系,为术中减少出血、避免重要血管的损伤提供帮助。术中可实时监测肿瘤切除的位置和范围,提供术中精确定位,病变切除后,可再次行超声检查,了解病变的切除程度,判断腔镜视线死角有无病变残留,大大提高肿瘤的全切率,是提高手术质量、减少手术并发症的关键。
术中超声的应用为肝胆外科手术起到非常重要的指导作用。肝胆外科成功开展术中实时超声引导下精准肝内肿瘤切除手术,将极大地提高我院肝胆外科的手术治疗水平。
扫一扫 手机端浏览

微信服务号