多学科诊治胆总管结石
发布时间:2019-01-25 16:24
本文来源: 未知
分享到:
患者刘某某,因“腹痛、发热、黄染7天”于2019年1月4日入住消化内二科。患者主要表现为:7天前进食油腻食物后开始出现剑突下持续性绞痛,疼痛程度重,难以忍受,有恶心、呕吐症状,呕吐为胃内容,无咖啡色液体,无酸臭味,有发热、畏寒、寒战症状,最高体温达39℃,并逐渐出现黄染症状,黄染逐渐加重。
入院后急诊完善上腹部CT平扫,提示胆总管结石并梗阻,肝功能提示总胆红素:296umol/L,直接胆红素:265umol/L,间接胆红素:31.4 umol/L。患者有腹痛、发热、黄疸症状,结合CT诊断考虑胆总管结石并急性化脓性胆管炎。1月4日当天消化内二科为刘某某急诊行ERCP术+鼻胆管引流术,但因患者十二指肠乳头旁巨大憩室,导致ERCP插管未成功。
请肝胆外科会诊,但患者高龄,一般情况差,手术风险大,死亡率高,家属拒绝外科手术治疗,且因为患者家庭经济困难,拒绝转上级医院。患者病情持续加重,出现高热、畏寒、寒战症状,体温最高达41℃,腹痛、黄染症状进一步加重,患者病情危重,随时可能感染性性休克,出现心脏、呼吸骤停。在这危急时刻,急请介入科会诊,行急诊PTCD术,手术成功,术后患者胆汁引流通畅,腹痛、发热、黄疸症状明显缓解,患者一般情况好转,但胆总管结石未取出,仍有病情反复及加重可能。
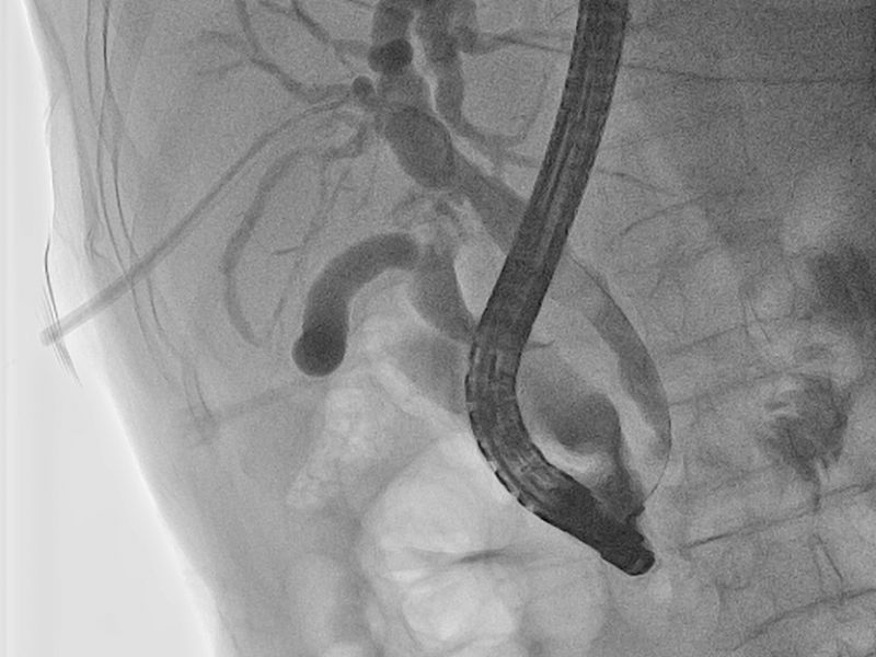
1月14日,在介入科、麻醉科多学科协助下,介入科丁文金副主任医师经PTCD管植入导丝及鞘管至十二指肠乳头开口处,消化内二科向仍运医师在十二指肠镜直视下插入导丝至PTCD鞘管成功会师,从而进入胆总管,切开十二指肠乳头,网篮取净胆总管结石,手术成功,拔除PTCD管。术后常规抗炎及支持治疗,患者康复顺利,于1月23日痊愈出院。
多学科合作、会师技术在我院的开展运用,可大大提高ERCP困难插管患者的治疗成功率,丰富了我院对胆总管结石胆管炎这类患者的治疗手段。
从PTCD管植入导丝及鞘管
网篮取胆总管结石
取净胆总管结石
扫一扫 手机端浏览

微信服务号