肝胆外科一病区精准完成一例胰十二指肠切除联合门静脉切除重建手术
发布时间:2019-01-04 15:28
本文来源: 未知
分享到:
开辟手术“禁区”新“绿道”
——记肝胆外科一病区精准完成一例胰十二指肠切除联合门静脉切除重建手术
近日,肝胆外科一病区顺利完成一例胰颈部肿瘤的胰十二指肠切除联合门静脉切除重建手术。
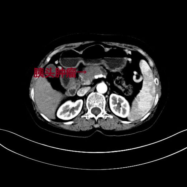
病人彭某某,61岁,因“体检发现胰腺占位1周”入住肝胆外科一病区,完善CT、MRI等影像学检查后,入院诊断为:胰颈部肿块,考虑胰腺癌,且周围血管侵犯可能性大。经科内讨论,认为患者胰腺颈部肿瘤局限,没有远处转移,一般情况良好,有手术指征和手术条件,加上患者及家属手术意愿强烈,可以实施手术。但该胰颈部肿瘤较大,最大径为5cm(T3期以上),该部位肿瘤常常累及背侧和头侧的血管,如背侧的肠系膜上静脉、脾静脉、门静脉,头侧的肝总动脉、腹腔动脉、脾动脉;一旦术中确认血管侵犯,为实现肿瘤的R0切除,则可能需要进行血管切除重建。在胰腺的切除范围上,有全胰腺切除和扩大的胰头十二指肠切除两种术式选择,全胰切除术后,胰腺的内、外分泌功能完全丧失,势必影响患者的生活质量,但是,决定是否能保留远端部分胰腺,还是取决于术中胰腺断端是否获得阴性切缘;患者的手术难度非常大,且术前带有诸多不确定性!
完善手术前准备,制定好各种情况下的手术预案,在科主任宋新支持下,一病区主任王文儿带领手术团队于2018年11月20日为该病人实施“剖腹探查术”,排除腹腔的远处转移后,首次采取循肠系膜上动脉+肝总动脉的“两动脉先行入路”,确定手术的可切除性,证实脾动脉近根部的胰腺上缘段受侵犯,肠系膜上静脉、脾静脉的汇合部、以及门静脉的起始部受肿瘤累及,在获得胰腺断端阴性切缘的前提下,保留了胰尾侧长约4cm的胰腺实质,连同受累血管整体一并移除标本,随后完成肠系膜上静脉-门静脉端端重建,术中超声证实门静脉血流通畅、最后完成重建消化道。术后检查脾脏血运,在保留脾胃韧带前提下,脾脏没有缺血、淤血改变,手术顺利完成。术中病人生命体征平稳,没有输血,术后麻醉复苏后,直接返回病房。
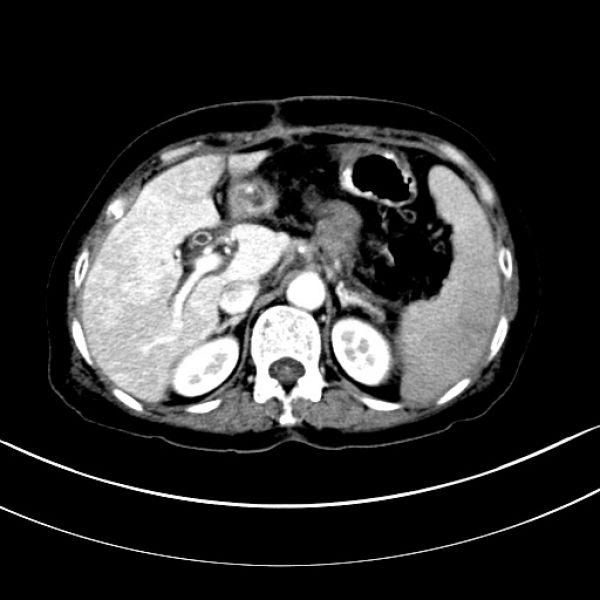
术后,科室医护团队运用加速康复外科的理念,对病人全程实施精细化规范管理,病人术后恢复满意。无胆漏、胰漏、出血、感染等并发症,术后血糖监测结果正常,没有出现脂肪泻,胰腺内、外分泌功能得到有效保留,术后辅助化疗正在稳步实施。病人及其家属对疗效非常满意,医护团队也由衷感到欣慰。
胰十二指肠切除术是肝胆胰腺外科手术中的最为复杂的手术之一。其切除脏器多(胰头、十二指肠、部分胃、胆总管、胆囊),操作复杂,更主要的是其切除后有包括胰肠、胆肠和胃肠吻合的消化道重建。一旦形成胰漏,严重者可能造成难以控制的腹腔感染、大出血、甚至死亡。胰十二指肠切除术是治疗胰头癌及壶腹周围肿瘤的首选方法,也是腹部外科最为复杂、最富于风险性的标志性手术之一。以往认为,一旦胰头癌侵犯血管,便无法切除,属手术禁忌症。但随着外科手术技术的提高,尤其是血管外科技术的发展和应用,手术“禁区”开辟出了新的“绿道”,使侵犯门静脉/肠系膜上静脉的胰头癌、但无远处转移且耐受手术者,联合血管切除重建,实现病灶R0切除成为可能。
肝胆外科一病区“完美”演绎一例联合血管切除重建的复杂胰十二指肠切除术,展示了我院胰腺外科技术勇攀国内先进水平的决心。
术前CT
术中门静脉切除重建
术后复查CT
患者康复出院与肝胆外科一病区医护人员合影
扫一扫 手机端浏览

微信服务号