神经外科二病区成功显微夹闭一例复发颅内动脉瘤
发布时间:2018-12-23 15:32
本文来源: 未知
分享到:
近日,神经外科二病区完成了一例复发颅内动脉瘤的开颅夹闭手术,成功拆除了患者颅内的一枚“不定时炸弹”。
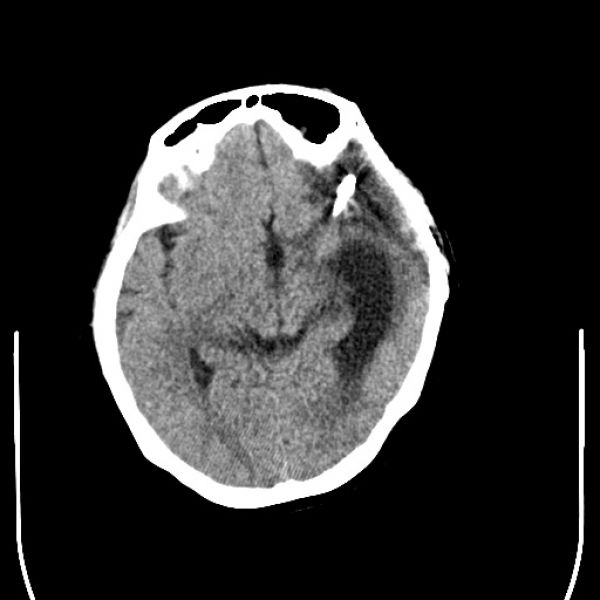
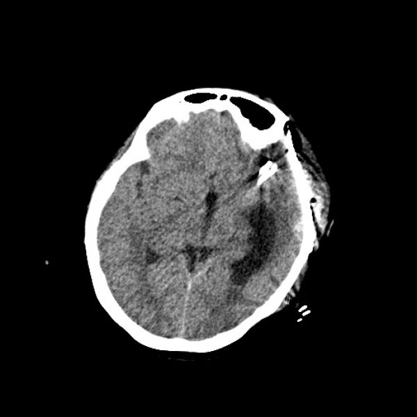
患者符某,半年前在外打工时因突发意识障碍于外院就诊,检查提示左侧大脑中动脉瘤,即于外院行“开颅动脉瘤夹闭术+血肿清除术+去骨瓣减压术”,病情稳定后行颅骨修补术,后出院在家修养。近日,患者自觉头痛不适,并伴有双侧面颊部疼痛,自行处理后无缓解,遂来神经外科二病区就诊。
病区主任朱英杰高度重视,认为患者此次主要以头痛不适住院,结合既往病史,考虑头痛与颅内动脉瘤仍有一定的关系,与家属仔细商议病情后,建议复查全脑血管造影。由田志副主任完成了选择性全脑血管造影术,术中发现左侧大脑中动脉M1段分叉部可见一动脉瘤夹影,M1段分叉部可见一囊状动脉瘤,右侧颈内动脉眼动脉段可见一小动脉瘤。患者颅内多发动脉瘤!且是短时间内的复发,若动脉瘤一旦“爆炸”,病情会急剧恶化,患者愈后则极差。
朱英杰主任再次组织全科室进行讨论分析,评估手术风险,仔细作出相应的应急预案,由于该患者有外院开颅手术治疗病史,故颅内的神经、血管现已存在广泛的黏连,术中必须予以保护,技术要求难上加难。介入手术是另一种微创的血管内治疗方案,虽然技术成熟,但考虑经济原因,家属商议决定:就在我院行开颅手术治疗。
经过与患者家属的详细沟通和精心准备后,由朱英杰病区主任主刀、田志副主任医师一助,有条不紊的在显微镜下分离血管,小心保护神经组织,最终历时4小时,完成左侧大脑中动脉M1段分叉部动夹闭+包裹术,术后在神经外科二病区及ICU医师的共同精心治疗下,患者逐步恢复好转,得益于良好的神经显微技术,患者未出现新发的神经功能缺失,3周后步行出院。
颅内动脉瘤是指脑动脉内腔的局限性异常扩大造成动脉壁的一种瘤状突出,多因脑动脉管壁局部的先天性缺陷和腔内压力增高的基础上引起囊性膨出,一旦破裂,临床表现为严重的蛛网膜下腔出血,发病急剧,患者剧烈头痛,形容如“头要炸开”,频繁呕吐,大汗淋漓,颈强直,也可能出现意识障碍,甚至昏迷。颅内动脉瘤无论是开颅夹闭还是介入栓塞,术后均有出现复发的可能性。而一旦出现复发,势必需行再次手术治疗。
神经外科二病区在黄纯海副院长以及朱英杰科主任的带领下,业务水平稳步拓展,利用神经显微操作技术,能成熟开展颅内各种血管病的开颅和血管内介入手术治疗,包括颅内动脉瘤、脑血管畸形、自发性脑出血、脑干出血、烟雾病等。同时能开展颈动脉内膜剥脱术预防严重脑梗塞的发生,为湘西州脑血管疾病患者提供良好的医疗技术。
扫一扫 手机端浏览

微信服务号