生死时速母子同危 多科协作妙手回春——记一例疤痕子宫妊娠合并急性胰腺炎的救治
发布时间:2018-12-05 16:26
本文来源: 未知
分享到:
11月28日上午,住院20天的尹姓患者康复出院了,病房里欢声笑语,全然没有初入院时的紧张氛围,经过我院多学科协作团队(MDT)的精心诊治,母子终于转危为安。这一路走来,在尹某及其家属心里,有劫后余生的欣喜,有喜获麟儿的激动,更有对州人民医院医护人员的感激。
11月8日下午5点50分,肝胆外科二病区来了一个特殊的患者。患者尹某,因“上腹痛10+小时,下腹痛2+小时”入院,外院检查考虑“急性重症胰腺炎;胆囊结石并急性胆囊炎”。患者目前宫内妊娠33+6周,既往曾有两次“剖宫产”手术史。急性重症胰腺炎,以其病情重,死亡率高,堪称肝胆外科的“死神”之一,一不小心将危及患者的生命;而疤痕子宫妊娠,也可能出现子宫破裂的危险,为产科的又一个危急重症 “死神”,两个“死神”相遇,两条生命均危在旦夕。接诊病人以后,值班医生马上向姚本能主任汇报,完善急诊淀粉酶、产科彩超,并请产科急会诊。
姚本能主任、产科陈夏副主任医师查看病人,患者有频繁宫缩,原剖宫产子宫肌层较薄处仅1.3mm,随时有子宫破裂的危险,为保护母体内的胎儿,大大限制了胰腺炎的用药,一旦发生意外,胎儿与母体的生命都将受到威胁。充分考虑之后,决定先将胎儿娩出。
因病情危重,时间就是生命,产科急诊完善术前准备,11月8日晚23点入手术室,23点37分剖宫产取出一活男婴,新生儿Apgar评分9-10分,请新生儿科急会诊,转入新生儿科治疗。11月9日0点30分,患者被推出手术室,返回肝胆外科病房。
急诊产科彩超
返回病房后,肝胆二病区姚本能主任、产科陈夏副主任医师高度关注患者病情,患者面临的下一个难关将是急性胰腺炎的治疗与剖宫产后的相关并发症,积极予以抗感染、抑制胰酶分泌、护胃、促进子宫收缩等处理。同时警惕产后心衰的发生,在胰腺炎容量不足与产后回心血量增加导致心衰之间寻找到平衡。
11月10日下午,患者出现呼吸困难、血氧饱和度下降,在姚本能主任指导下,急诊请呼吸内科、心胸外科监护室医师急会诊,考虑患者有ARDS、急性心衰可能。与家属商议后,11月10日晚19点30分,转入心胸外科ICU治疗,20点20分行气管插管、呼吸机辅助呼吸。患者在ICU期间,肝胆二病区、产科、胸外ICU高度关注患者病情,患者出现反复夜间发热,请感染科会诊,协助诊治。经治疗,患者11月17日顺利脱呼吸机拔除气管插管,11月18日转入肝胆外科普通病房治疗。同时,新生儿也恢复良好,已从新生儿科出院。
出院时CT影像
出院时CT影像
出院时CT影像
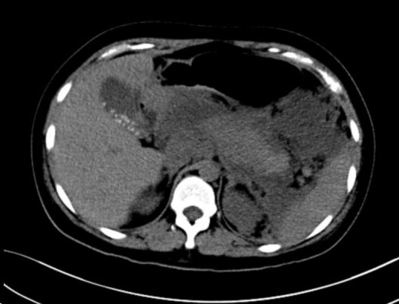
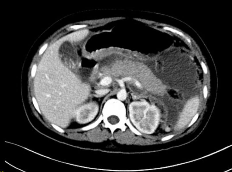
返回肝胆二病区后,患者继续抗胰腺炎治疗,经过精心的专科治疗,腹痛症状逐渐缓解,复查淀粉酶等逐渐恢复正常,复查腹部CT胰腺周围渗出较前吸收,胰腺有假性囊肿形成可能,患者目前未出现发热腹痛等症状,胃肠道功能已恢复,病情稳定出院,只待胰腺炎恢复后,再返院处理胆囊结石及胰腺假性囊肿,于是出现了病房内和谐欢乐的一幕。
住院的20天,母子俩几度经历鬼门关。入院时胰腺炎合并疤痕子宫妊娠,先兆早产,肝胆二病区与产科紧急联合会诊,剖宫产出婴儿,度过第一关;新生儿Apgar评分高危,产科与新生儿科急会诊,新生儿转入新生儿科治疗,最终康复出院,度过了第二关;在肝胆二病区治疗过程中,患者突发ARDS,肝胆二病区与ICU、呼吸科、胸外科急会诊,紧急将患者转入ICU,气管插管,上呼吸机辅助呼吸维持生命体征平稳,患者度过了第三关;在胸外ICU期间,患者感染严重,出现高热情况,肝胆二病区、产科、胸ICU、感染科医生再次共同会诊,积极抗感染、抑制胰酶分泌、补液扩容等治疗,患者顺利脱机拔除气管插管,度过了第四关;由胸外ICU转出至普通病房后,经过继续治疗,患者胰腺炎吸收好转,康复出院,度过了第五关。重重难关,一一度过,离不开医院几个科室间的通力合作。
目前疾病的诊治在大医院逐渐专科化,每个专科的治疗都有其独特性,隔行如隔山,一个危及重症,特别是合并多个科室疾病的情况下,需要多科室的鼎力协作,才能使患者转危为安,于是疾病诊治多学科会诊(MDT)逐渐兴起。通过这例疤痕子宫妊娠合并急性胰腺炎的患者的诊治,肝胆二病区遵循了MDT的诊治原则,收到了良好的效果。
同时,肝胆外科的医生也敬告各位准妈妈,急性胰腺炎的病因多为胆源性或脂源性,孕妇如果孕期发生急性胰腺炎,由于治疗胰腺炎所需抑制胰酶药物可能对胎儿造成不同程度上的影响,极大程度上限制了胰腺炎的治疗,胰腺炎导致的脏器损害可能随时危及胎儿的生命。因此,备孕前及时处理胆囊结石(特别是曾经发作过的结石)、控制血脂,可以避免孕期诱发胰腺炎,危及母体及胎儿的生命。
患者出院时与医护人员合影
扫一扫 手机端浏览

微信服务号