肝胆外科“温柔一刀” 挽回高坠休克小伙——记肝胆外科一病区顺利完成急诊解剖性左半肝切除术
发布时间:2018-11-19 15:42
本文来源: 未知
分享到:
肝胆外科“温柔一刀” 挽回高坠休克小伙
——记肝胆外科一病区顺利完成急诊解剖性左半肝切除术
——记肝胆外科一病区顺利完成急诊解剖性左半肝切除术
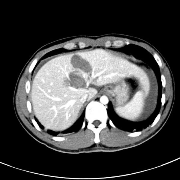
10月20日,创伤骨科收治了一位特殊的病人。患者黄某,28岁,因“高空坠落致右大腿肿痛、活动受限8小时”求诊。入院后检查发现,小伙子不仅多处骨折,还伴随内脏受损:左肝中央型挫裂伤。
10月24日,复查发现病人血压下降、心率加快、血色素呈进行性下降,相关科室会诊后,评估认为左肝破裂、腹腔内出血、但手术风险太大,建议转上级医院治疗。
考虑到肝中央型挫裂伤病人转院途中的大出血的风险,能不能在本院进行救治?在等待120救护车转运的时候,病人骨科主管医生谭仕凯抱着试一试的态度,找到肝胆外科王文儿主任,王文儿主任接到电话会诊申请,马上赶到骨科病房,查看病人和检查资料后,判断:一、中央型肝破裂不宜长途转运,途中随时有大出血的风险,应该及时就近展开抢救;二、肝胆外科完全有能力实施该类型。将患者情况向患者及家属沟通后,患者及家属均要求在医院展开抢救。
在得到医院和患方家属的支持后,抢救工作马上展开,用了不到25分钟的术前准备,患者进入手术室,由肝胆外科一病区主任王文儿医生担任主刀,麻醉科张勇副主任亲自实施主麻,一切抢救工作有条不紊的展开。
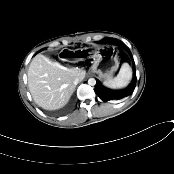
13:10手术开始,腹腔内积血约800ml,吸尽后发现左肝脏面有一长约3cm不规则裂口,不断有鲜血自破口涌出。决定按术前规划实施左半肝切除术,结扎左肝蒂、游离左肝、劈开肝正中裂、移出标本。凭借娴熟的肝脏外科技术,仅仅花费1小时15分钟的时间,顺利完成手术。术中失血估计不超过150ml,术中未输血,病人生命体征平稳。
病人回病房后,应用快速康复的理念指导术后治疗,恢复过程非常顺利,没有并发症发生。术后1周即转入创伤骨科,接下来准备实施骨折切开复位内固定手术。目前小伙正逐步恢复,脸上也显出了年轻人特有的活力。看到肝胆外科一区的医生,患者及家属的感激之情溢于言表:“还是你们技术好,我才捡回一条命,要是转院去长沙,我可能就撂倒半路上了!”
“手术台上施妙手,危境之下显从容。”面对肝中央型破裂出血的险情,肝胆外科一区团队在医院和兄弟科室的支持下,及时实施手术,术中应用精准肝脏外科技术,不仅完整切除破碎的左侧肝组织,而且完整保留了右侧肝脏正常组织,术后未出现并发症。病人及家属对医生的信任,是抢救成功的前提,也是肝胆外科一病区团队努力的最大动力。为肝脏外伤患者提供优质的医疗服务,是肝胆外科一病区团队的初心。
术前CT
肝胆一区团队在术中有条不紊,争分夺秒
术后CT(保留肝中静脉)
扫一扫 手机端浏览

微信服务号