肝胆外科一病区顺利实施一例急诊胰体尾联合脾切除手术
发布时间:2018-10-15 15:55
本文来源: 未知
分享到:
四小时生死赛跑 妙手仁心解难症
——肝胆外科一病区顺利实施一例急诊胰体尾联合脾切除手术
“谢谢医生,如果真转去长沙,就已经死在路上了。感谢王主任及肝胆外科一病区医生及时进行了手术治疗”。近日,肝胆外科一病区王文儿主任刚走到患者的病床前,就赢来了一阵感谢。
“我们也感谢你们给了我们信任。”握着患者母亲的手,王文儿感触也很深。
这名患者系中年男性,37岁,因“脾梗塞治疗后20+天,再发左上腹部疼痛2+小时”入院。患者自2015年第一次发作重症急性胰腺炎康复后,随后因胰腺炎反复发作多次入院治疗。
“肚子反复痛了好几年了,现在每天需注射6支止痛剂才压得住痛,而且使用间隔时间越来越短”,患者母亲望着医生焦急地说。
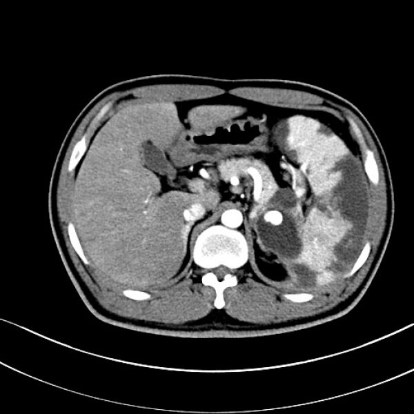
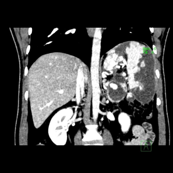
患者入院时CT提示:坏死性胰腺炎、合并假性囊肿形成、假性脾动脉瘤、左门脉高压症、脾梗死。病情紧急,且情况不容乐观。
“我们带资料到湖南省人民医院肝胆外科就诊,但是那里的专家推荐找州医院肝胆外科的王文儿主任诊治。”患者家属泪光闪动,带着求救的目光。
时间就是生命,救治刻不容缓。肝胆外科一病区通过详细评估后,对病情的复杂性和术中风险有了充分准备。该患者集坏死性胰腺炎、合并假性囊肿形成、假性脾动脉瘤、左门脉高压症、脾梗死于一体,对医生的医术是一大考验,且术中极易发生大出血,不易控制。但胸有成竹的王文儿主任经过全科室术前讨论后,当即决定在患者入院的第二天进行急诊手术。历时4个多小时的生死赛跑,王文儿主任带领的肝胆外科一病区手术团队成功完成了这台“胰腺体尾部切除+胰腺假性囊肿剥除+脾脏切除术”的复杂急诊手术。术中仅出血300ml,术后患者恢复顺利,症状完全缓解,2周即康复出院。
艺高人胆大,妙手解难症。肝胆外科一病区能够常规化的开展此类手术,真正做到大病不出州,这不仅是肝胆外科一病区在医疗业务上的开拓和技术水平上的提升,也是肝胆外科一病区的医务人员落实“做人民满意的医生”,践行服务好、质量好、医德好、群众满意的具体体现。
术前CT
术前CT
术中术野情况
患者康复出院时与主治医生合影
扫一扫 手机端浏览

微信服务号