高龄不等于手术禁区---记一例91岁高龄患者行LCBDE术
发布时间:2018-09-05 09:26
本文来源: 未知
分享到:
近日,肝胆外科一病区为一例91岁高龄老太太成功实施腹腔镜下胆囊切除术+胆总管切开取石+T管引流手术(以下简称“LCBDE术”)。
8月25日,患者在全麻下行LCBDE术。在麻醉医师和手术室护理团队的配合下,由肝胆外科一病区主任王文儿副主任医师担任主刀医师,历时85分钟,顺利完成腹腔镜下胆总管切开取石+胆囊切除+T管引流手术,术中失血不到20ml,术后麻醉复苏成功,安返病房。
患者术后恢复顺利,在病房护理团队的配合下,应用ERAS理念,患者在8月31日术后第5天带T管出院。
该例高龄患者LCBDE手术实施,是我科微创技术精准化的一个体现;现在高龄肝胆胰外科病人越来越多,我们团队不断突破高龄禁区,在麻醉科、手术室同仁的协助下,进行了有益的尝试和探索,提升了高龄患者围手术期的管理水平,更好为人民群众的健康保驾护航。
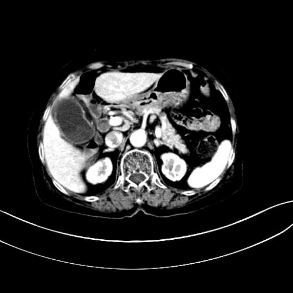
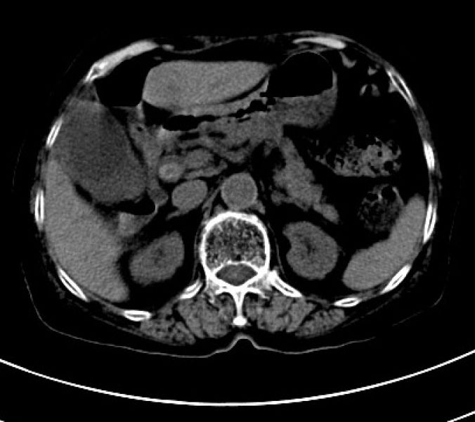
术前增强CT结果
术中情况
术中取出结石及胆囊
出院前,田奶奶和家人,与部分医务人员合影留念
扫一扫 手机端浏览

微信服务号