脾外科的精准微创手术治疗——记一例腹腔镜部分脾切除手术
发布时间:2018-07-24 15:20
本文来源: 未知
分享到:
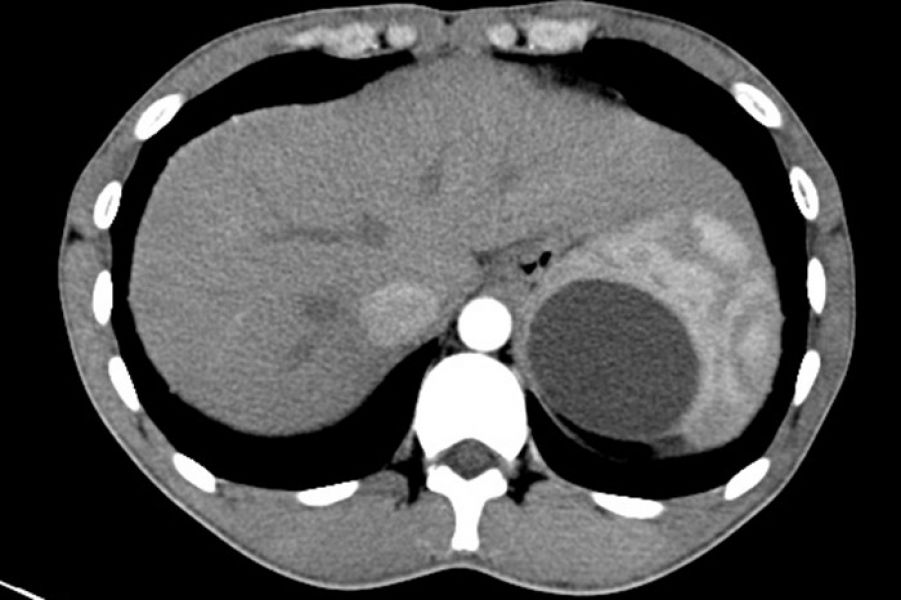
患者向某某,18岁,学生,于7月9日以“体检发现左上腹肿块4月要求手术”为主诉入院。患者4月前在当地医院行高考前体检,腹部彩超检查发现“左上腹一囊性包块,性质来源待定”。高考结束,在我院门诊进一步行上腹部CT检查,结果报告:“脾上极一囊性占位,大小约6.5*5.3cm”,门诊以“脾囊性占位”收住肝胆外科一病区。
与患者及家属交流后,告知患方,从目前的临床资料判断,其脾囊性包块目前考虑为良性病变,可以选择手术治疗,亦可以选择保守治疗,密切动态观察。患方商量后,决定行手术治疗。
如何为患者选择一合理的手术方案,摆在了医疗组的面前。肝胆外科组织病区做手术讨论,针对该患者,有3个方案可供选择,方案1:行脾囊肿开窗术;方案2:行脾切除手术;方案3:行上极脾段切除术。
其中,行脾囊肿开窗术技术上最为简单,但存在的问题是,病灶未祛除,一部分病人术后囊肿复发;行脾切除术虽然完整切除病变,技术上也比较简单、安全,但患者术后丧失了脾脏这一人体免疫器官;行上极脾段切除,兼顾了前两种术式的优点,既完整祛除了病灶,又保留了脾脏的免疫功能。缺点在于技术要求高,手术难度大,术中难以控制脾断面出血、术后脾断面有延迟性出血的风险。经过反复斟酌后,医疗组决定为该患者行腹腔镜下上极脾段切除手术,并向科主任宋新同志汇报,得到了宋新主任的肯定和支持,要求手术组准备好各种预案。
完成术前准备后,7月13日在麻醉科、手术室的配合下给患者实施手术,术中探查后证实为脾上极包块,呈囊性,直径约6cm,按术前规划,顺利完成腹腔镜上极脾段切除术。手术完成后,检查下极脾段血运良好,脾断面无活动性出血,未常规放置脾窝引流管。手术历时1小时55分钟,术中出血在100ml以内,术中生命体征平稳,患者术后安返病房。
现代精准外科的两大核心理念,一是病灶彻底祛除;二是残留脏器功能的保护。因为术中探查后考虑该患者的脾下极肿块系良性病变的可能性大,所以在脾上极病灶得到彻底切除的前提下,保留正常的脾下极,从而保留脾功能,是符合现代精准脾外科理念的首选手术范式。
脾段切除手术,即在脾门处先解剖脾蒂,将脾蒂的二级分支游离出来,再将目标脾段的二级脾蒂予以结扎后离断,然后沿脾脏的缺血界面离断脾实质,因为脾脏实质内脉管系统纤细,为丰富的髓样血窦组成,质地非常脆,离断脾实质、脾断面的止血、术后脾创面的迟发性出血等技术难题,对外科医生来说,都是非常巨大的挑战。目前国内能开展该术式的单位不多,检索国内文献,只有零星的规则性脾段切除的个案报道。肝胆外科2017年3月曾实施过首例开腹下极脾段切除手术,而腹腔镜下的规则性脾段切除,在这之前,还没有这方面的手术经验。
患者术后恢复过程顺利,在病房护理团队的配合下,在患者术后恢复过程中贯彻了ERAS的理念,第一天开始床上适度活动,并拔除导尿管,开始嚼口香糖;第二天开始试进水和少量全流饮食;术后第五天停止输液,术后复查腹部彩超,证实残脾血运良好,脾静脉通畅,脾周无明显积液,术后动态复查血常规,血小板无明显变化,脾功能保留得到实现。7月20日,患者康复出院回家,随访至今,患者无不适症状。
该例腹腔镜下上极脾段切除手术的顺利完成,标志着肝胆外科团队在脾外科的发展再上一个新台阶,进入脾外科精准微创手术治疗时代。
术前CT
术中照片
完成脾段切除后
扫一扫 手机端浏览

微信服务号