肝胆外科将腹腔镜头侧入路应用在解剖性左半肝切除术中
发布时间:2017-12-03 10:45
本文来源: 未知
分享到:
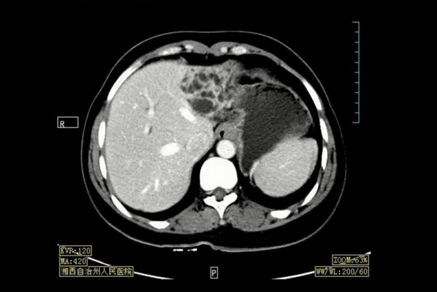
来自贵州松桃的患者吴某某,10月21日以“反复上腹部胀痛10余年,再发并加重5天”为主诉入院。入院后完善增强B超、CT、MRI等影像学检查,诊断为“1、左侧肝内胆管囊状扩张,左肝萎缩,性质待定,考虑良性可能性大;2、胆囊结石,胆囊多发息肉,慢性胆囊炎;3、胆总管扩张”,患者手术指征明确,手术规划:行胆囊切除+左肝切除+胆总管探查术,术中根据左肝标本快速病理切片结果决定是否需行根治性手术。
根据现代外科精准肝切除的理念,需彻底切除病灶与最大限度保留残肝的结构和功能的完整性。学过解剖的人都知道,肝脏是一个实质器官,表面除一条镰状韧带和一条左纵沟外,没有其它的可以指引分叶、分段的标识结构,左右肝是以肝实质内的肝中静脉为分界平面。同时,肝中静脉收集来自左肝S4与右肝S5、S8回流的静脉血,
该例手术要求肝胆外科既要完整切除左侧病变胆管树及所引流的肝脏区域,又要保证肝中静脉主干的完整性,不影响右前区S5+S8的静脉回流。在国内大的肝胆外科中心,都必须借助术中超声的实时引导,但即使有这些先进的设备,做到也不容易,存在术中断肝平面偏左或偏右的可能。手术中的技术关键在于找到肝中静脉主干,并以此血管为“路标”,指导离断肝实质的平面。
遵循快速康复外科(ERAS)的理念,外科干预应尽可能“微创化”,选择腹腔镜肝切除是最佳手术方式。
在肝胆外科主任宋新主任医师的主持下,术前科内认真组织了专题讨论,最后,王文儿医生提出的头侧入路法左半肝切除术得到了大家的认可和支持。该术式于2015年在国内首次报道应用于临床,目前掌握该技术的单位屈指可数。
头侧入路法左半肝切除术技术要点是:在完成左肝的充分游离和左半肝入肝血流阻断后,解剖第二肝门,进而离断肝左静脉,再显露肝中静脉的根部,然后在肝中静脉的指引下,自头侧向尾侧离断肝实质,完成左右半肝的劈离。
该术式优点非常明显,从第二肝门解剖出肝中静脉的根部,断肝过程中有肝中静脉作为路标,断肝平面不会出现偏差。但该术式的难点也很突出,表现在:一是50%以上的肝中静脉与肝左静脉在肝外是形成一共干,两者的分叉部隐藏在肝实质内,这给手术医师在第二肝门出解剖出肝中、肝左静脉带来困难;二是该区域操作空间狭小,且紧邻下腔静脉,一旦血管壁损伤,出血会很汹涌,并有空气栓塞的巨大风险。宋新主任认为肝胆外科有上千例的肝切除经验储备,有信心且有能力完成头侧入路法左半肝切除手术,鼓励医疗组大胆尝试、精细操作。
完成术前各项准备,肝胆外科于10月26日在全麻下实施全腹腔镜头侧入路法左半肝切除+胆囊切除+胆道探查+T管引流手术,手术顺利。术中患者生命体征平稳,术中出血量不超过60ml,未输血,术后安返回病房。
患者术后恢复亦很顺利,术前没有常规留置胃管。术后第一天开始下床活动,拔除导尿管,开始嚼口香糖,试进水,口服四磨汤;术后第二天开始拔除引流管;第三天进全流饮食,复查肝功能,胆红素值正常;第四天复查腹部CT,证实“病灶已完整切除,余肝未见异常密度灶,肝周无积液”;第五天开始停止输液,并开始间断夹闭T管;术后第七天病理回报:胆管囊状扩张,符合良性病变,慢性胆囊炎。11月2日,患者带T管顺利康复出院。
肝胆外科成功实施首例腹腔镜头侧入路精准解剖性左半肝切除手术,使其肝外科手术治疗上了一个新的台阶。
图1:术前CT片
图2:断肝过程中
图3:完成断肝后肝断面展示
图4:病理诊断
扫一扫 手机端浏览

微信服务号